ドイツ式入れ歯で治療した方の症例集まとめ|お悩み別実例解説

ドイツ式入れ歯(テレスコープ義歯)治療専門の歯科医院、このは歯科クリニック東京の院長、小西浩介です。
『歯がボロボロで困っていてきちんと治したい』『インプラントは怖いしやりたくない、普通の入れ歯もしたくない』このようなお悩みを抱えて当院に来院される方は年齢問わず多くいらっしゃいます。
当院では、歯をできるだけ残しながら、インプラントのような手術は必要としない、従来の入れ歯とは全く異なる『ドイツ式入れ歯(テレスコープ義歯)』の治療を専門的に行なっており、全国から多くの患者さんが来院されています。
【関連記事】ドイツ式入れ歯(テレスコープ義歯)を完全解説!特徴、種類、メリット、費用は?
今回のブログでは、「自分と似たケースがどのように治療されているのか」「噛めるようになるまでの流れや、見た目がどう変わるのか」を、実際に当院でドイツ式入れ歯(テレスコープ義歯)で治療した方々の症例写真とともにできるだけわかりやすくお伝えします。
インプラントではない、従来の入れ歯でもない治療方法を探されている方や、入れ歯やブリッジ、現在の歯がボロボロでお困りの方、これからドイツ式入れ歯を検討している方のご参考になれば幸いです。
このブログは、ドイツ式入れ歯(テレスコープ義歯)治療を専門としている、学会やコンペティションで数々の受賞歴を持ち、全国の歯科医師に多数の依頼講演と執筆歴がある「このは歯科クリニック東京」の院長である小西浩介が執筆しております。

【執筆者紹介】全国の歯科医師に総入れ歯・ドイツ式入れ歯(テレスコープ義歯)を教育する院長 小西浩介の経歴紹介
このブログも含め、私が執筆した歯がボロボロ、歯を失った方でお悩みの方への入れ歯治療に関する医療コラムを以下にまとめていますので、いつでも見返せるようにブックマークに登録していただいてから読み進めていただければと思います。
この記事の内容は、
- お悩みに合わせたドイツ式入れ歯治療
- 全体的に歯がボロボロ・噛めない方の症例集まとめ
- インプラントが怖い・やりたくない方の症例集まとめ
- 全体の歯が重度歯周病でグラグラの方の症例集まとめ
- ブリッジが外れた・とれそうな方の症例集まとめ
- 総入れ歯しかないと言われた方の症例集まとめ
- 従来の入れ歯が合わない方の症例集まとめ
- 注意!ドイツ式入れ歯は歯医者によって仕上がりが全く違う
- まとめ|あなたに合うドイツ式入れ歯の選び方
お悩みに合わせたドイツ式入れ歯治療

当院には、様々なお悩みを抱えて全国から大変多くの患者さんがドイツ式入れ歯(テレスコープ義歯)の治療を受けに来院されています。
『自分と同じようなお口の中の状態の患者さんはいるのだろうか』『本当にきちんと治るのだろうか』という不安や心配なお気持ちはよくわかります。
このブログでは皆様にわかりやすいように、当院で実際にドイツ式入れ歯(テレスコープ義歯)で治療した方を歯のお悩み別で症例集として解説します。
このドイツ式入れ歯(テレスコープ義歯)の症例集まとめをご覧いただき少しでも皆様の歯に対する不安がなくなれば幸いです。
ドイツ式入れ歯(テレスコープ義歯)を一から知りたい方は以下のリンクで詳しい解説をしています、
【関連記事】ドイツ式入れ歯(テレスコープ義歯)を完全解説!特徴、種類、メリット、費用は?
全体的に歯がボロボロ・噛めない方の症例集まとめ
全体的に歯がボロボロ・噛めない方のよくあるお悩み
- 歯がボロボロだけどできるだけ歯を残したい
- 全体の歯がボロボロで食事も見た目も困っている
- 今まで歯医者に行けなかったがボロボロの歯をきちんと治したい
- 歯がボロボロだから治療しても将来また悪くなるかもしれないという不安もある
全体的に歯がボロボロ・噛めない方の治療の考え方
歯がボロボロで全体的に噛めなくなってきた場合、通常の生活も難しくなってくる方も少なくありません。

食事がうまくできず胃腸に負担がかかったり、マスクで口元を隠しがちになってしまったり、歯がボロボロだと精神的にも辛くなってくるお気持ちはよくわかります。
かと言って、歯を抜いたりインプラントや入れ歯もしたくないお気持ちもあるかもしれません。
何より治療が怖いお気持ちは患者さんにとっては、治療をしたいが足が遠のいてしまう原因にもなりえます。
しかし、歯がボロボロでもインプラントを回避し、できるだけ自分の歯を残し歯を守る治療方法としてドイツ式入れ歯(テレスコープ義歯)があります。
【関連記事】ドイツ式入れ歯(テレスコープ義歯)を完全解説!特徴、種類、メリット、費用は?
歯がボロボロな方ほど、このドイツ式入れ歯(テレスコープ義歯)が向いています。
もし、後から治療した歯が悪くなっても、設計次第で、義歯を作り替えることなく簡単な修理で使うことができるので、これまで歯でずっと悩んでいた方には最適な治療方法です。
【書籍紹介】ドイツ式入れ歯(テレスコープ義歯)がよくわかるおすすめ書籍
全体的に歯がボロボロ・噛めない方の症例紹介
50代女性で、上あごの歯の被せ物やブリッジの歯が虫歯でボロボロになっていた患者さんです。

治療前

被せ物の中の歯が虫歯になっている状態
普通の入れ歯になるのもインプラントにするのにも抵抗があり、自分の歯をできる限り残したい患者さんでした。

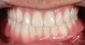
ドイツ式入れ歯で治療後の状態

ドイツ式入れ歯治療後の見た目
虫歯の歯も残せる歯は治療をして残して、上あごの歯をドイツ式入れ歯(テレスコープ義歯)の種類の1つであるレジリエンツテレスコープで治療をしました。
【関連記事】レジリエンツテレスコープとは|メリット・寿命・費用・症例を専門医が解説
【関連記事】50代60代で総入れ歯にしたい方へ|歯が1本でも残せるならテレスコープ義歯で解決
食事や生活も問題なく、見た目も満足していただき、ずっと抱えていた歯の悩みがなくなって嬉しいとお話しされていました。
【こちらの症例の詳細】50代女性で歯がボロボロの状態にドイツ式入れ歯(テレスコープ義歯)で治療したBefore、After!治療方法の詳細と費用を掲載
50代男性で、全体的に歯がボロボロで歯を失った本数も多く、見た目や食事の面でも困っているとお話をされていました。

治療前

治療前

ドイツ式入れ歯で治療後の状態

ドイツ式入れ歯の治療後の見た目
この患者さんには、上下の歯すべてをドイツ式入れ歯(テレスコープ義歯)の種類の1つであるコーヌステレスコープで治療をしました。
【関連記事】コーヌステレスコープ義歯とは|種類、メリット、デメリット、費用を解説します
すべてのボロボロの歯を治療して、ドイツ式入れ歯(テレスコープ義歯)の内部に歯を取り込むことで将来歯を抜くことになっても、その度に義歯を作り替えする必要がない状態に設計しています。
普通の入れ歯とは違い、従来の入れ歯特有の入れ歯が動いて噛めないということもないドイツ式入れ歯(テレスコープ義歯)の種類です。
ドイツ式入れ歯(テレスコープ義歯)すべて共通するのは、寝ている時も外さない、です。
【関連記事】テレスコープ義歯(ドイツ式入れ歯)のよくある質問Q&Aまとめ
ですので、家族の目を気にすることもなくご安心いただけます。
【こちらの症例の詳細】50代男性の歯がボロボロでドイツ式入れ歯(テレスコープ義歯)で治療した方のBefore、After!治療方法の詳細と費用を掲載
50代男性で、長年歯医者に行けず、全体の歯がボロボロで治療をご希望だった患者さんです。

治療前

治療前

ドイツ式入れ歯で治療後の状態

ドイツ式入れ歯の治療後の見た目
上あごはドイツ式入れ歯(テレスコープ義歯)の種類のレジリエンツテレスコープ、下あごはコーヌステレスコープで治療をしました。
【関連記事】レジリエンツテレスコープとは|メリット・寿命・費用・症例を専門医が解説
【関連記事】50代60代で総入れ歯にしたい方へ|歯が1本でも残せるならテレスコープ義歯で解決
【関連記事】コーヌステレスコープ義歯とは|種類、メリット、デメリット、費用を解説します
【その他の症例集】ドイツ式入れ歯(テレスコープ義歯)で治療した方のBefore、After!治療方法の詳細と費用を掲載
60代女性の方で、長年歯医者に行けず、どこの歯医者に行ったらいいかもわからなかった、とお話しされていました。

治療前

治療前

治療後の見た目
上あごは、自分の歯を残さない方法の総入れ歯、下あごはドイツ式入れ歯(テレスコープ義歯)の種類のコーヌステレスコープで治療をしました。
【関連記事】コーヌステレスコープ義歯とは|種類、メリット、デメリット、費用を解説します
このように、歯がボロボロで歯が残らなかったとしても総入れ歯で治療ができますのでご安心ください。
【関連記事】総入れ歯とテレスコープ義歯(ドイツ式入れ歯)の違いと選び方
【こちらの症例の詳細】60代女性でドイツ式入れ歯(テレスコープ義歯)で治療した方のBefore、After!治療方法の詳細と費用を掲載
【その他の症例集】ドイツ式入れ歯(テレスコープ義歯)で治療した方のBefore、After!治療方法の詳細と費用を掲載
インプラントが怖い・やりたくない方の症例集まとめ
インプラントが怖い・やりたくない方のよくあるお悩み
- インプラントの外科手術への恐怖や痛みへの不安
- インプラントを避けたいが、普通の入れ歯もしたくない
- 過去にインプラントをしたけど、もうインプラントをやりたくない
- 年齢や健康状態によるリスクが高い
- 骨が少ない、薄いと言われて骨造成が必要と言われたが抵抗がある
- インプラントを入れた後の将来が心配
インプラントが怖い・やりたくない方の治療の考え方

インプラントは患者さんの状態やご希望によっては優れた治療方法になりえますが、インプラントをやりたくないという方は少なくありません。
また、将来にわたり、歯を失うとインプラントという繰り返しを想定すると、気が引けるお気持ちもよくわかります。
インプラントが怖い、やりたくないとインプラントに抵抗がある方には、自分の歯を残して活かせる、インプラントのような外科手術はいらない、ドイツ式入れ歯(テレスコープ義歯)が向いています。
【関連記事】ドイツ式入れ歯(テレスコープ義歯)を完全解説!特徴、種類、メリット、費用は?
ただし、歯を失った本数が1本だけで他の歯が健康な場合等は、ドイツ式入れ歯(テレスコープ義歯)は不向きです。
しかし、歯を失った本数が何本もあって、かつ全体の歯がボロボロであったり、過去に治療している歯も多く、今後悪くなりそうな歯もある方には、ドイツ式入れ歯(テレスコープ義歯)は非常に向いています。
【書籍紹介】ドイツ式入れ歯(テレスコープ義歯)がよくわかるおすすめ書籍
インプラントが怖い・やりたくない方の症例紹介
50代女性で、過去にインプラントを何本もしたが、インプラントも含め自分の歯もボロボロになってしまったという患者さんです。

治療前
もうインプラントはしたくない、やりたくないというご希望でした。

治療後
上あごは総入れ歯、下あごは自分の歯を残してドイツ式入れ歯(テレスコープ義歯)の種類のレジリエンツテレスコープで治療をしました。
【関連記事】レジリエンツテレスコープとは|メリット・寿命・費用・症例を専門医が解説
【関連記事】50代60代で総入れ歯にしたい方へ|歯が1本でも残せるならテレスコープ義歯で解決
【関連記事】テレスコープ義歯(ドイツ式入れ歯)の値段費用を教えてください
【症例集】ドイツ式入れ歯(テレスコープ義歯)で治療した方のBefore、After!治療方法の詳細と費用を掲載

治療前

治療前
60代男性で、上あごの奥歯3本を失っており、インプラントをするには骨が足りないため、骨造成をしなければならないと他院で説明を聞き、
普通の入れ歯ではないドイツ式入れ歯(テレスコープ義歯)を知り、当院を見つけてくださった患者さんです。

治療後

治療後

治療後
歯を失ったところ以外の自分の歯や古い被せ物の中の歯も不安な状態で、
今後将来を見据えてすべての被せ物を除去し、虫歯の治療をしてからドイツ式入れ歯(テレスコープ義歯)の種類の1つのAGCテレスコープで治療をしました。
【関連記事】コーヌステレスコープの進化版|AGCテレスコープ義歯とは
【こちらの症例の詳細】60代男性のドイツ式入れ歯(テレスコープ義歯)で治療した方のBefore、After!治療方法の詳細と費用を掲載
【その他の症例集】ドイツ式入れ歯(テレスコープ義歯)で治療した方のBefore、After!治療方法の詳細と費用を掲載
全体の歯が重度歯周病でグラグラの方の症例集
全体の歯が重度歯周病でグラグラの方のよくあるお悩み
- 全体の歯が歯周病で歯がグラグラ
- ずっと歯医者でクリーニングや歯周病の治療を受けているもどんどん歯周病が悪化している
- 歯周病のため、インプラントにしても歯周病にかかりやすいため不安
- いよいよ歯が抜けそう、自然に抜けたところもあり、このままだと総入れ歯になりそう
全体の歯が重度歯周病でグラグラの方の治療の考え方

全体の歯が重度歯周病でグラグラの場合、見た目や食事、会話等の日常生活に支障が出ていることがよくあります。
全体の歯が歯周病でグラグラの方は、今後の治療方法をよく考えて治療を受けなければ、将来さらに困ってしまう恐れが高くなります。
過去に歯周病で歯がグラグラになった方は、インプラントが歯周病になる可能性もあります。
また、従来の入れ歯ですと、自分の歯に金属や樹脂で入れ歯をひっかける構造ゆえに、グラグラの歯が抜けてしまう方も少なくありません。

しかし、ドイツ式入れ歯(テレスコープ義歯)の場合、グラグラの歯も治療でグラグラをほとんど止めることができる可能性があります。
【関連記事】全体の歯がグラグラする原因と最適な治療方法を解説
さらに、すべての歯をドイツ式入れ歯(テレスコープ義歯)の内部に取り込むため、将来残した歯を失っても作り替えることなく簡単な修理で済むことができる義歯の設計も可能です。
また、全体の歯がグラグラの場合で歯を抜くことになっても、当院では歯を抜く前に見た目や食事のために、すぐに仮歯や仮の入れ歯を入れることもできますので、ご安心してご相談いただければと思います。
【関連記事】総入れ歯で歯がない期間の食事はどうすればいいのか?解決策を解説します
全体の歯が重度歯周病でグラグラの方の症例紹介

治療前

治療前
60代女性で、全体の歯が重度の歯周病とのことで歯がグラグラしていた状態でした。
下あごは残せる歯を残してドイツ式入れ歯(テレスコープ義歯)の種類のレジリエンツテレスコープ、上あごは歯を残さず総入れ歯で治療をしました。
【関連記事】レジリエンツテレスコープとは|メリット・寿命・費用・症例を専門医が解説
【関連記事】50代60代で総入れ歯にしたい方へ|歯が1本でも残せるならテレスコープ義歯で解決
【関連記事】総入れ歯とテレスコープ義歯(ドイツ式入れ歯)の違いと選び方

治療後

治療後
【こちらの症例の詳細】60代女性のドイツ式入れ歯(テレスコープ義歯)で治療した方のBefore、After!治療方法の詳細と費用を掲載
50代女性で、全体の歯がグラグラで歯周病になっている状態でした。

治療前

治療前
歯周病の歯に従来の入れ歯のひっかけをしていたこともあり、急速に悪化している状態でした。
下あごの歯は歯周病の治療をし、ドイツ式入れ歯(テレスコープ義歯)の種類の1つのレジリエンツテレスコープで治療をしてからも、グラグラだった歯も全く問題なく使用できています。
上あごは、総入れ歯で治療しました。
【関連記事】レジリエンツテレスコープとは|メリット・寿命・費用・症例を専門医が解説
【関連記事】50代60代で総入れ歯にしたい方へ|歯が1本でも残せるならテレスコープ義歯で解決

治療後

治療後
【こちらの症例の詳細】50代女性のドイツ式入れ歯(テレスコープ義歯)で治療した方のBefore、After!治療方法の詳細と費用を掲載
【その他の症例集】ドイツ式入れ歯(テレスコープ義歯)で治療した方のBefore、After!治療方法の詳細と費用を掲載
ブリッジが外れた・とれそうな方の症例集まとめ
ブリッジが外れた・とれそうな方のよくあるお悩み
- 何度もブリッジが外れる
- ブリッジが外れそう、グラグラしている
- ブリッジの支えの歯が虫歯でボロボロでとれそう
- ブリッジを外したら歯がなくなると言われた
- ブリッジがダメになったら入れ歯かインプラントは避けれない
- 大型のブリッジだからより心配
ブリッジが外れた・とれそうな方の治療の考え方
ブリッジが外れた、ブリッジがとれそうというお悩みも患者さんにとっては非常に深刻です。

上:ブリッジが入っている状態、下:ブリッジを外して虫歯を確認した状態
ブリッジは支えている歯に何かあれば総倒れになってしまうデメリットがあります。
そして、ブリッジをかばうために他の歯にダメージが加わってしまうことで他の歯までどんどん悪くなることもあります。
ドイツ式入れ歯(テレスコープ義歯)は、普通の入れ歯とは違い、残った歯に負担がかからないように残った歯全体を取りこむ、取り外しができる全体の被せ物のようなものです。
そのため、またブリッジで悩んだり、同じことを繰り返したくないという方に向いています。
実は、『ブリッジを外してまずは治療を開始しましょう、それから歯の状態に合わせて治療をしましょう』というのは意外と危険なことは患者さんには知られていません。

ブリッジを外す前

ブリッジを外して虫歯になっている状態
というのも、ブリッジを外してみて歯を抜かなければならない状態の場合、すぐに歯を入れることは一般的ではないからです。
ですので、最悪歯がない状態で過ごさなければならない可能性もあるため、
当院ではドイツ式入れ歯(テレスコープ義歯)の場合、あらかじめ仮歯や仮義歯を用意しておき、それからブリッジを外して歯がない期間を作らないようにしています。
【関連記事】総入れ歯で歯がない期間の食事はどうすればいいのか?解決策を解説します
ブリッジが外れた・とれそうな方の症例紹介
上あごのブリッジがとれそうで、他院にて治療はできないと言われた50代女性です。

治療前
他院でとれそうなブリッジを何度も接着剤で固定しているのがわかります。

治療後

治療後
上あごは残せる歯3本を残してドイツ式入れ歯(テレスコープ義歯)の種類のレジリエンツテレスコープで治療をしました。
【関連記事】レジリエンツテレスコープとは|メリット・寿命・費用・症例を専門医が解説
【関連記事】50代60代で総入れ歯にしたい方へ|歯が1本でも残せるならテレスコープ義歯で解決
【こちらの症例の詳細】60代女性のドイツ式入れ歯(テレスコープ義歯)で治療した方のBefore、After!治療方法の詳細と費用を掲載
ブリッジが外れそう、グラグラしているという50代の男性です。

治療前

治療前
インプラントと迷われていましたが、自分の歯を残せるなら残したい、できればインプラントはしたくないというご希望でした。
治療開始後からは、歯がない期間をつくることなく仮義歯、最後のドイツ式入れ歯(テレスコープ義歯)の種類のレジリエンツテレスコープまで終えています。

治療後

治療後
【関連記事】レジリエンツテレスコープとは|メリット・寿命・費用・症例を専門医が解説
【関連記事】50代60代で総入れ歯にしたい方へ|歯が1本でも残せるならテレスコープ義歯で解決
【こちらの症例の詳細】50代男性のドイツ式入れ歯(テレスコープ義歯)で治療した方のBefore、After!治療方法の詳細と費用を掲載
上あごのブリッジが虫歯になっており、どうしたらいいかわからないが、自分の歯は残したいという60代の女性です。

治療前
上あご下あごともにドイツ式入れ歯(テレスコープ義歯)の種類のAGCテレスコープで治療をしました。

治療後

治療後
【こちらの症例の詳細】60代女性のドイツ式入れ歯(テレスコープ義歯)で治療した方のBefore、After!治療方法の詳細と費用を掲載
総入れ歯しかないと言われた方の症例集まとめ
総入れ歯しかないと言われた方のよくあるお悩み
- 自分の歯がほとんど残っていない
- 他院で総入れ歯か、ALL ON4でインプラントと言われたが不安
- 自分の歯を弱くてもいいから1本でも多く残したい
- 総入れ歯になったらどうなるか心配
総入れ歯しかないと言われた方の治療の考え方
長年歯医者に行けず、治療をいざやろうと思った矢先に、歯医者で総入れ歯になります、全部インプラントにしないと噛めないと言われた方は、当院に多く来院されています。

もし、歯が弱くても1本でも残せる場合、ドイツ式入れ歯(テレスコープ義歯)で自分の歯を活かすことができ、歯に負担をかけにくい状態にすることもできます。
たとえ、すべての歯を抜かなければならない状態だったとしても、当院には保険適用外の総入れ歯で治療している方もたくさんいらっしゃいます。
【関連記事】総入れ歯とテレスコープ義歯(ドイツ式入れ歯)の違いと選び方
ドイツ式入れ歯(テレスコープ義歯)や総入れ歯になったらどうなるか心配という方も、まずは治療をして現在のお困りから脱却するために仮の義歯で過ごしていただき、慣れていただいてから最終的な歯に仕上げていきますのでご安心いただければと思います。
総入れ歯しかないと言われた方の症例紹介

治療前
50代女性、これまで歯がグラグラで歯医者で接着剤で固定をしてもらっては外れての繰り返しをずっとしてきた、すべての歯を抜いて総入れ歯も考えているが良い治療方法がないかと探し、当院を見つけ治療をご希望されていた患者さんです。

治療後
上あごは総入れ歯、下あごの歯は残せる歯を残してドイツ式入れ歯(テレスコープ義歯)の種類のレジリエンツテレスコープで治療をしました。
【関連記事】レジリエンツテレスコープとは|メリット・寿命・費用・症例を専門医が解説
【関連記事】50代60代で総入れ歯にしたい方へ|歯が1本でも残せるならテレスコープ義歯で解決
1本でもご自身の歯を残すことができれば、ドイツ式入れ歯(テレスコープ義歯)が可能となり、総入れ歯よりも安定した義歯になります。
自分の歯があることで、噛む感覚を少しでも残すことも可能です。
【こちらの症例の詳細】50代女性のドイツ式入れ歯(テレスコープ義歯)で治療した方のBefore、After!治療方法の詳細と費用を掲載
【関連記事】ドイツ式入れ歯・テレスコープ義歯の治療の流れ|初診相談から完成まで専門医が解説

治療前

治療前
60代女性、これまで歯がボロボロで総入れ歯になるのは仕方ないが、総入れ歯になったらどうなるか心配とお話しされていました。

治療後

治療後
ご自身の歯を何本か残せる状態ではありましたが、治療費用の兼ね合いでドイツ式入れ歯(テレスコープ義歯)ではなく、上あご下あごともに総入れ歯で治療した患者さんです。
【こちらの症例の詳細】60代女性のドイツ式入れ歯(テレスコープ義歯)ではなくて総入れ歯で治療した方のBefore、After!治療方法の詳細と費用を掲載
【その他の症例集】ドイツ式入れ歯(テレスコープ義歯)で治療した方のBefore、After!治療方法の詳細と費用を掲載
従来の入れ歯が合わない方の症例集まとめ
従来の入れ歯が合わない方のよくあるお悩み
- 入れ歯を作ったが合わない、痛くて噛めない
- 入れ歯を作ったが自分の歯がどんどんグラグラになったり傷んでくる
- 入れ歯の見た目が気になって他の人の目が気になる
- 入れ歯のことで家族に心配されるのでなんとかしたい
従来の入れ歯が合わない方の治療の考え方
通常の入れ歯を作ってみてもうまくいかないことは多々あります。
実は、保険内治療でも保険外治療の入れ歯であっても同じことがよくあります。

意外と思われるかもしれませんが、保険外入れ歯だから良いというものではありません。
多くの入れ歯の種類は、入れ歯の支えに自分の歯にひっかけたり、磁石を入れ歯に内蔵させたりという仕組みです。
このような仕組みでは、入れ歯が合わない、痛い、つけてられないという原因になりえます。
そのような場合は、入れ歯の仕組みを変えて、義歯の内部に取り込み入れ歯の支えを変えるドイツ式入れ歯(テレスコープ義歯)が向いていることがあります。

従来の入れ歯をしていた方は、ドイツ式入れ歯(テレスコープ義歯)をしてみると、こんなに違うのかと驚かれることはよくあります。
普通の入れ歯だとよく噛めない、合わないからインプラントをすすめる歯医者の気持ちもわかりますが、インプラントの他にドイツ式入れ歯(テレスコープ義歯)がありますのでご安心いただければと思います。
これまで入れ歯をしていた方、これから入れ歯にしようと思うが、普通の入れ歯だと使えなさそうと思った方には、ドイツ式入れ歯(テレスコープ義歯)を知っていただく価値は十分にあると思います。
従来の入れ歯が合わない方の症例紹介

治療前

治療前
60代男性、他院で作った上の総入れ歯と下の部分入れ歯が合わない、他の歯も悪くなっているという患者さんです。

治療後

治療後
下あごの自分の歯も傷んでいましたので、下あごはすべて治療をし取り込むドイツ式入れ歯(テレスコープ義歯)のコーヌステレスコープ、上あごは総入れ歯で噛み合わせも治療しました。
【関連記事】テレスコープ義歯(ドイツ式入れ歯)の値段費用を教えてください
【こちらの症例の詳細】60代女性ドイツ式入れ歯(テレスコープ義歯)で治療した方のBefore、After!治療方法の詳細と費用を掲載

治療前

治療前
60代女性、過去にインプラントをしてさらに入れ歯もしたが、噛みにくいし、見た目も気になるという患者さんです。

治療後

治療後
上あごはドイツ式入れ歯(テレスコープ義歯)の種類のレジリエンツテレスコープ、下あごはコーヌステレスコープで治療をしました。
【関連記事】テレスコープ義歯(ドイツ式入れ歯)は何年使えますか?テレスコープ義歯の寿命を解説
【こちらの症例の詳細】60代女性のドイツ式入れ歯(テレスコープ義歯)で治療した方のBefore、After!治療方法の詳細と費用を掲載
【その他の症例集】ドイツ式入れ歯(テレスコープ義歯)で治療した方のBefore、After!治療方法の詳細と費用を掲載
注意!ドイツ式入れ歯は歯医者によって仕上がりが全く違う
ドイツ式入れ歯は名前の通り、ドイツをはじめヨーロッパで考案されてから100年以上も歴史があり、インプラントを使わない方法として今もなお、ヨーロッパでは普及している治療方法です。
日本では1980年頃に認知されはじめましたが、その難易度の高さゆえに、多くの歯科医師がうまくいかず現在では、インプラントとは違い、馴染みがない治療方法です。
日本では、ドイツ式入れ歯(テレスコープ義歯)の種類のうち、コーヌス義歯(その他の通称名:コーヌスデンチャー、コーヌステレスコープ、コーヌスクローネ)が知られていますが、それだけではありません。
症例によって他のドイツ式入れ歯(テレスコープ義歯)の種類を使い分け設計することがとても重要です。
最も重要なことは、ドイツ式入れ歯(テレスコープ義歯)だからどこの歯医者でも同じということは、全くありません。
ドイツ式入れ歯(テレスコープ義歯)を知り、他院でドイツ式入れ歯(テレスコープ義歯)の治療をしてみたが、うまくいかなかったという患者さんで当院でドイツ式入れ歯(テレスコープ義歯)で再治療することはよくあります。
ドイツ式入れ歯(テレスコープ義歯)は歯科治療の中でも、技術や知識が非常に問われる治療の1つです。

実は、私はこれまで学会やコンペティションでドイツ式入れ歯(テレスコープ義歯)の治療で数々の受賞をしてきました。

今では、全国の歯科医師に向けてドイツ式入れ歯(テレスコープ義歯)を教育しています。
しかし、患者さんにはドイツ式入れ歯(テレスコープ義歯)であればどこの歯医者でも同じと思われるかもしれません。
患者さんがドイツ式入れ歯(テレスコープ義歯)で失敗しないための対策としては、ドイツ式入れ歯(テレスコープ義歯)を受けようという歯科医院、歯科医師を十分にリサーチされることを強くお勧めします。

実際に当院にてドイツ式入れ歯(テレスコープ義歯)で治療を行なった方の体験談、口コミが掲載されていますので、ご参考にされていただければと思います。
まとめ|あなたに合うドイツ式入れ歯の選び方
今回はドイツ式入れ歯(テレスコープ義歯)の症例集まとめとして、治療前のお悩み別で解説しました。
今回は、実際に当院でドイツ式入れ歯(テレスコープ義歯)で治療した方のほんのごく一部の方を紹介しております。
他にも歯の様々なお悩みを抱えていた方も多くいらっしゃいます。
当院のホームページの症例集に他にも多くの患者さんのドイツ式入れ歯(テレスコープ義歯)の実例症例集を掲載していますので、ご参考にしていただければと思います。
【症例集】ドイツ式入れ歯(テレスコープ義歯)で治療した方のBefore、After!治療方法の詳細と費用を掲載
実際にドイツ式入れ歯(テレスコープ義歯)の良さがわかったものの、
- ドイツ式入れ歯(テレスコープ義歯)の治療期間はどれくらいですか?
- ドイツ式入れ歯(テレスコープ義歯)の治療費用はどれくらいですか?
などたくさんのご不明な点があると思いますが、ドイツ式入れ歯(テレスコープ義歯)のよくあるご質問はQ&Aでまとめていますので、そちらをご確認いただければと思います。
【関連記事】テレスコープ義歯(ドイツ式入れ歯)のよくある質問Q&Aまとめ

当院で治療をご検討の方は、治療を行う前に初診ではご相談を行っております。
自分にはドイツ式入れ歯(テレスコープ義歯)が向いているのか、もし治療するとどのような感じになるのか、といった様々な不安な気持ちをご相談いただければと思います。
初回のご相談は、初診料5500円(自由診療)で承っています。
このブログや症例集を通じて、お一人でも、歯で悩んでいる方が少しでも前向きな気持ちになれることを願っています。

執筆者 このは歯科クリニック 院長 小西浩介
【執筆者紹介】全国の歯科医師に総入れ歯・ドイツ式入れ歯(テレスコープ義歯)を教育する院長 小西浩介の経歴紹介
このは歯科クリニック
院長:小西 浩介(ドイツ式入れ歯・テレスコープ義歯・総入れ歯治療専門)
〒113-0001 東京都文京区白山1-33-27 HDCビル1F/2F/B1F








