入れ歯が外れる原因と解決法|外れないドイツ式入れ歯とは?

多くの歯を失ったり、全体の歯がボロボロの方への入れ歯治療専門の歯科医院、このは歯科クリニック東京の院長、小西浩介です。
『入れ歯が外れる』『入れ歯が動いて使えない』『入れ歯が外れて歯医者に行っても変わらない』というお悩みは、非常に多くの患者さんからよく聞きます。
実は、入れ歯が外れることには、はっきりとした原因があります。
しかし、歯医者に入れ歯の調整をしに行っても変わらない、何回作り替えても変わらない、といった状態になる理由は、
入れ歯が外れる原因を特定したとしても、そもそもの入れ歯の仕組みを変えない限り歯科医師も良くすることができないからです。

よくある従来の保険適用の入れ歯が外れるといったお悩みは、ドイツ式入れ歯(テレスコープ義歯)で十分解決できる見込みがあります。
このブログでは、多くの歯を失ったり、全体の歯がボロボロの方への入れ歯治療専門としている専門家の立場から、
入れ歯はだめだからインプラントを検討する前に、なぜあなたの入れ歯は外れるのか、といった原因を解説し、
その対策や解決方法を理解していただき、従来の入れ歯の仕組みとは全く異なる外れにくいドイツ式入れ歯(テレスコープ義歯)という選択肢も知っておきましょう。
【関連記事】ドイツ式入れ歯(テレスコープ義歯)を完全解説!特徴、種類、メリット、費用は?
このブログで知識を身につけて今後の治療のご参考にしていただければと思います。
この記事は、多くの歯を失ったり、全体の歯がボロボロの方の治療を専門としている、学会やコンペティションで数々の受賞歴を持ち、全国の歯科医師に多数の依頼講演と執筆歴がある東京の「このは歯科クリニック」の院長である小西浩介が執筆しております。

【執筆者紹介】全国の歯科医師に総入れ歯・ドイツ式入れ歯(テレスコープ義歯)を教育する院長 小西浩介の経歴紹介
この記事も含め、私が執筆した歯がボロボロ、歯を失った方でお悩みの方へのインプラント、入れ歯治療に関する医療コラムを以下にまとめていますので、いつでも見返せるようにブックマークに登録していただいてから読み進めていただければと思います。
【歯のお悩みブログ】歯がボロボロ、歯を失った方で、インプラント、入れ歯治療をしたい方に役立つ情報をまとめています
この記事の内容は、
- 入れ歯が外れる…実はとても多いお悩みです
- 入れ歯が外れる原因とは?
- 入れ歯が外れるとどうなる?
- よくある間違い|安定剤や微調整だけでは解決しない理由
- “外れない入れ歯”を実現するためのポイント
- ドイツ式入れ歯(テレスコープ義歯)とは?
- 実際に“外れない入れ歯”に変えた患者さんの声
- まとめ|“外れる”悩みを終わらせるために
- 東京・千葉・神奈川・埼玉で“外れない入れ歯”をお探しの方へ
入れ歯が外れる…実はとても多いお悩みです

「話している途中に入れ歯が外れてしまう」「食事のたびに入れ歯が浮く」「入れ歯が気になって人前で笑えない」
こうしたお悩みを抱えて当院に来院される方は、非常に多くいらっしゃいます。
入れ歯が外れるのは“慣れ”や“年齢”のせいではありません。
原因を正しく理解し、適切な方法で対処すれば、もう入れ歯で我慢や辛い思いをすることはなくなります。
入れ歯が外れる原因とは?
入れ歯が外れる主な原因は、お口の中の状態や入れ歯の設計や仕組みにあります。
ここでは代表的な6つの原因を解説します。
入れ歯を支える金具(クラスプ)の緩み

一般的な部分入れ歯では、入れ歯を支える金属のバネのような金具(クラスプ)が使用されている場合があり、これが緩むと入れ歯が外れやすくなります。
金具(クラスプ)の緩みは、口の動きによって徐々に生じることが多く、特に食事中や会話中に違和感を感じることががあります。
金具(クラスプ)が緩む原因として、入れ歯を残った歯に引っ掛けて支えるため、入れ歯の動きを止める反動で金具が緩むこと、そもそも歯に引っかかりにくい仕組み、構造であるからです。
例え、金具(クラスプ)をやりかえても、素材を変えても(ノンクラスプデンチャー等)、あまり効果がないのは、歯に引っかけるだけの仕組みだからです。
吸着力の低下(歯ぐきの変化)

ご自身の歯が一本もない総入れ歯や、それに準じた入れ歯の場合、入れ歯は「粘膜と唾液の吸着」で支えられています。
加齢や歯ぐき、つまり歯槽骨の吸収により、歯ぐきが痩せると吸着力が弱まり、入れ歯が外れやすくなります。
合っていない入れ歯の場合、入れ歯が外れやくなる程度やスピードが増すというのは、入れ歯を専門にしているとよく目の当たりにします。
保険内治療の総入れ歯では、材質、治療方法に制限があるため、出来上がりの装着直後から、そもそも吸着力が弱いということはよくあり、残念ながら避けきれないのが現実です。
【関連記事】50代60代で総入れ歯の人はいますか?歯がボロボロ治療専門の歯科医師が解説
入れ歯の支えとなる歯や骨の減少
入れ歯を入れ始めは良かったものの、徐々に入れ歯が外れるようになったり、入れ歯の安定が悪くなってきた、というのは、入れ歯の支えとなる歯や骨の減少が原因の可能性があります。

自分の歯に入れ歯を引っかけるような部分入れ歯では、自分の歯に負担がかかり、徐々に自分の歯がグラグラになってくることはよくあります。

それは、歯周病と同じ状態で、自分の歯を支える骨が溶けてしまい、入れ歯を支えきれず、入れ歯が外れる原因となっているからです。
噛み合わせのズレや悪化
入れ歯は噛み合わせのバランスが崩れると、わずかな力でも動き、入れ歯が外れる原因になります。

一見、関係ないと思われる入れ歯の噛みあう反対の歯の噛み合わせ、入れ歯の支えとなる歯の噛み合わせも重要です。
入れ歯は部分入れ歯、総入れ歯に関係なく、他の歯、噛み合う歯の噛み合わせが悪ければ、入れ歯が外れる原因になったり、安定しない原因にもなります。
入れ歯安定剤や入れ歯接着剤への依存

入れ歯が外れる場合、市販の入れ歯安定剤や入れ歯接着剤を利用している人も少なくないと思います。
入れ歯安定剤や入れ歯接着剤は、効果がある人もいれば、気持ち悪くて使いたくない、手入れが大変というお声もよく聞きます。
お口の中に合っていない入れ歯に、入れ歯安定剤や入れ歯接着剤をすると、より合わなくなってしまったり、歯茎が荒れてしまたり、余計に入れ歯が外れる原因にもなります。
毎日、毎食後、入れ歯安定剤や入れ歯接着剤を使用しなければならない患者さんの大変さや苦労を考えれば、とても辛い方もいらっしゃるのではと思います。
入れ歯の適合不良(合っていない)

入れ歯が外れる原因に、もともと入れ歯が合っていないということもよくあります。
とはいえ、他院で作り替えてもやっぱり入れ歯が合わないというご相談もよく聞きます。
これは、入れ歯の仕組みや構造による可能性が高く、これを機に入れ歯の仕組み、種類を再検討する方が良い場合もあります。
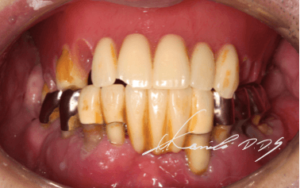
入れ歯が外れるとどうなる?
入れ歯が外れる場合、
- 食事の効率が悪くなり、消化器への負担が増える
- 会話に億劫になり、人との交流を避けるようになる
- 入れ歯が外れる動きで粘膜が傷つき、痛みや炎症が起こる
このように、食事や会話、普段の生活すら難しくなってくる方もいます。

「少しくらい動くけど慣れたから大丈夫」と思っている方も注意が必要です。
外れる入れ歯を放置すると、入れ歯を支えている歯が悪くなったり、噛み合わせや骨の吸収がさらに進み、悪循環に陥ります。
こうした状態が続くと、「外れやすい入れ歯」ではなく「噛めない入れ歯」にもなってしまう恐れがあります。
【症例集】歯がボロボロでも総入れ歯・ドイツ式入れ歯(テレスコープ義歯)で綺麗になれるBefore、After!治療方法と費用を掲載
よくある間違い|安定剤や微調整だけでは解決しない理由
多くの方が、まず試すのが「安定剤」「入れ歯の調整」「入れ歯の再作製」ですが、根本の原因が解決されていなければ、また入れ歯が外れるようになります。
入れ歯が外れやすいときの対処方法

例え、「安定剤」「入れ歯の調整」「入れ歯の再作製」をしても、根本の原因を解決していなければ、ずっと入れ歯に悩んでしまうことも十分に考えられます。
ですので、かかりつけの歯科医院に、根本の原因を入れ歯でどう解決することができるのか、をきちんと専門家に聞くことが重要です。
しかし、それならインプラントで、となる可能性もあるため、まずは当院のような入れ歯治療専門に相談をしてみるのも選択肢の1つかもしれません。
【書籍紹介】ドイツ式入れ歯(テレスコープ義歯)がよくわかるおすすめ書籍
入れ歯は『形』ではなく『設計』で安定する

入れ歯が外れる原因を解決するために、針金を歯に歯茎にどう合わせるか、といった入れ歯の『形』に、歯科医師も意識が行きがちですが、
それでは、入れ歯を外れないようにするには限界があります。
そもそもの入れ歯の種類や設計、仕組みを見直すことをおすすめします。
入れ歯の調整で限界を感じたら設計そのものの見直しを
入れ歯を何度調整してもすぐ外れる方は、入れ歯の仕組みや種類が合っていない可能性が高いです。
特に部分入れ歯や、総入れ歯に近い状態でも自分の歯が残っていて、入れ歯が不安定な場合、ドイツ式入れ歯(テレスコープ義歯)が効果的なことが多いという私の臨床実感です。
“外れない入れ歯”を実現するためのポイント
では、入れ歯が外れる原因がわかったところで、具体的に“外れない入れ歯”を実現するためのポイントを解説します。
入れ歯の材質によって効果は違う?
部分入れ歯の方で、入れ歯の材質を変えて、入れ歯が外れなくなるということは残念ながらあまり期待できません。

保険外診療のノンクラスプデンチャーと呼ばれる針金がない入れ歯であっても、入れ歯が外れる根本の原因を解決にはなりません。
つまり、“外れない入れ歯”のために入れ歯の仕組みを変えず、材質を保険適用外のものに変えても根本的な解決にならないため、ほとんど変わりがないことが予想されます。
これを知らないと、“外れない入れ歯”を求め、何度も保険外治療の入れ歯で作り直して高額な治療費用と、期間がかかってしまったということになりかねません。
支えとなる歯を最大限に活かしながら守る

残っている歯がある場合、その歯に金具(クラスプ)等をどう引っ掛けても、歯が栓抜きのように歯を揺らしてしまう動きがかかり、歯に負担がかかってしまい、
歯グラグラになり、最終的には歯を抜いて、また入れ歯の作り替えを一生繰り返してしまうことが予想されます。
したがって、“外れない入れ歯”を実現するためのポイントの1つは、歯に引っかける構造ではなく、いかに歯に優しく、入れ歯が外れないような仕組みの入れ歯にすることです。
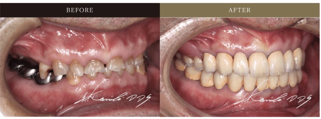
例えば、ドイツ式入れ歯(テレスコープ義歯)と呼ばれる特殊な仕組みの入れ歯の場合、自分の残った歯に「内冠:ないかん」を装着し、その上から「外冠(入れ歯本体):がいかん」を被せる二重構造にします。

治療前

治療後

治療後の見た目
これにより、支えの歯にしっかりと歯の軸方向に無理のない支えを求めることができ、入れ歯のずれや動きを極力防ぎ、外れにくい入れ歯となります。
【関連記事】ドイツ式入れ歯(テレスコープ義歯)を完全解説!特徴、種類、メリット、費用は?
噛み合わせを精密に設計する
通常の保険適用の入れ歯は、欠損した歯のみを補うものであるため、自分の残った歯の噛み合わせまで変えることはできません。
そのため、欠損した部分と自分の歯の部分を、噛み合わせる反対の歯と、噛み合わせたときに、同時にかつ同じ圧をかけることが非常に困難となります。
それによって、噛み合わせが整わず、歯はあるけど噛みにくいという事態に陥り、入れ歯が外れるという悩みにつながっていきます。
したがって、“外れない入れ歯”を実現するためのポイントは、自分の歯を残しながら、義歯の内部に自分の歯を取り込み、欠損した部位も、歯がある部位も一塊の義歯を作ることです。

治療前

治療前の見た目

治療後

治療後の見た目
このような入れ歯の種類は少なく、ドイツ式入れ歯ではこれが可能で、自分の歯を取り込むことで、今後追加で歯を失っても簡単な修理で義歯を作り直さず、使うことができるというメリットもあります。
外れにくく取り外しができきれいにできる入れ歯
“外れない入れ歯”を実現するためにインプラントを支えにした義歯にしましょうというのもよく目にします。

しかし、年齢を重ねたときに、自分で管理または歯科医院での特別なメンテナンスが受けれなくなったときはどうでしょうか。
確かに、入れ歯が外れる心配を抱えたり、入れ歯を外したりつけたりすることが煩わしいという気持ちもあるかもしれません。
ところが、外せるということは、ご自身で綺麗に保つことができ、最悪の場合第三者が綺麗にすることができるというメリットがあります。

ですので、必要以上に外れないが、お手入れのときに外せる入れ歯が、自分の歯も入れ歯も清潔に保つことができるのです。
ドイツ式入れ歯(テレスコープ義歯)は「固定性」と「清掃性」を兼ね備えた義歯です。
就寝時もつけたままで済みますので、入れ歯と気づかれることもありません。
ドイツ式入れ歯(テレスコープ義歯)とは?

ドイツ式入れ歯(テレスコープ義歯)とは、ドイツで100年以上の歴史を持つ入れ歯の精密技術で、
「自分の歯の力を最大限に活かしながら、安定感と快適性を両立する」ことを目的に開発されました。
ドイツ式入れ歯(テレスコープ義歯)の特徴は、
- 入れ歯と被せ物の中間的存在でインプラントのような外科手術は不要
- 歯につけるキャップ(内冠)とその上に装着する義歯(外冠)の二重構造で安定し、会話や食事でもズレにくい、外れにくい入れ歯
- 金属のバネ(クラスプ)がなく、見た目を自然にできる
- 取り外して清掃できるため、衛生的でメンテナンスが容易
- 自分の歯を失っても修理、追加が可能であるため、将来に備えることができる
このドイツ式入れ歯(テレスコープ義歯)を知り、様々な歯科医院から当院を見つけ、入れ歯が外れて悩んでいる生活から解放されて、普通に生活できるようになりたいという方が、全国から当院にたくさん来院されています。
しかし、ドイツ式入れ歯(テレスコープ義歯)であれば、どこの歯医者でも良いというわけでは決してありません。
ドイツ式入れ歯(テレスコープ義歯)は歯科医師の技術や知見によって非常に大きな差が出ますので、十分にドイツ式入れ歯(テレスコープ義歯)の情報を得て、精査してから治療を行うことを強くおすすめします。

実は、私はこのドイツ式入れ歯(テレスコープ義歯)で学会やコンペティションで数々の受賞歴があり、最年少受賞記録をいくつも塗り替えています。


現在では、全国でドイツ式入れ歯(テレスコープ義歯)の依頼講演や依頼執筆を数多く行なっています。
ドイツ式入れ歯(テレスコープ義歯)の名医を探して行き着きましたとおっしゃってくれる患者さんが、北海道から鹿児島まで全国のみならず、海外にお住まいの日本人も数多く来院されている、日本では珍しいドイツ式入れ歯(テレスコープ義歯)専門の歯科医院になっています。
【症例集】歯がボロボロでも総入れ歯・ドイツ式入れ歯(テレスコープ義歯)で綺麗になれるBefore、After!治療方法と費用を掲載
実際に“外れない入れ歯”に変えた患者さんの声
当院には「何度入れ歯を作っても外れてしまう」というお悩みを持つ患者さんが、ドイツ式入れ歯(テレスコープ義歯)に切り替えられた患者さんは非常に多くいらっしゃいます。
実際に入れ歯が外れるというお悩みの方が、当院にてドイツ式入れ歯(テレスコープ義歯)で治療を行なった方の体験談、口コミが掲載されていますので、ご参考にされていただければと思います。
まとめ|“外れる”悩みを終わらせるために
入れ歯が外れるのは、あなたのせいではありません。
多くの場合、入れ歯の“設計”が合っていないことが原因です。
そして、その設計を根本から見直す方法として、ドイツ式入れ歯(テレスコープ義歯)があります。
【関連記事】ドイツ式入れ歯(テレスコープ義歯)を完全解説!特徴、種類、メリット、費用は?
歯を失っても、噛む喜び・話す楽しさ・笑う自信を取り戻すことはできます。

治療前

外れない入れ歯の治療後
その第一歩は、「今の入れ歯がなぜ外れるのか」を正しく知ること、そして、あなたの口に合った“外れない入れ歯”を選ぶことです。
まずは、このブログ以外にも私が執筆した入れ歯や歯がボロボロの方、これから入れ歯にしようとお悩みの方にとって、今後お役に立てるような情報をブログに書いていますので、ご参考にされていただければと思います。
【歯のお悩みブログ】歯がボロボロでインプラント・入れ歯治療をしたい方に役立つ情報をまとめています
そこで十分な知識と情報を得ていただき、もし当院での治療をお考えの際は、今のお口の中の状態やご希望やお悩みをふまえて、
ご一緒に“最適な治療”を選ぶお手伝いができるかもしれませんので、是非一度ご相談にお越しいただければと思います。

当院は、すぐに治療を行わず、まずはご相談を行なっております。
初めての方は、初診料5500円(税込・保険外診療)でご相談を行なっておりますので、お気軽にご相談ください。
歯がボロボロでお困りの方に役立つ、私が執筆した医療コラムをこちらに掲載していますので、当院で治療でなくてもご活用いただければと思います。
【歯のお悩みブログ】歯がボロボロでインプラント・入れ歯治療をしたい方に役立つ情報をまとめています
皆様のお口の状態や、気持ちが少しでも良くなるよう願っています。
東京・千葉・神奈川・埼玉で“外れない入れ歯”をお探しの方へ

東京都文京区白山のこのは歯科クリニックでは、ドイツ式入れ歯(テレスコープ義歯)による精密な入れ歯治療を行っています。
【関連記事】ドイツ式入れ歯(テレスコープ義歯)を完全解説!特徴、種類、メリット、費用は?
まずはお悩みを聞かせていただき、最適な方法をご提案いたします。
お気軽にご相談ください。
このは歯科クリニック
院長:小西 浩介(ドイツ式入れ歯・テレスコープ義歯・総入れ歯治療専門)
〒113-0001 東京都文京区白山1-33-27 HDCビル1F/2F/B1F

執筆者 このは歯科クリニック 院長 小西浩介








