最終更新日:2026年3月13日
50代60代で“総入れ歯しかない”と言われた方の症例集
50代・60代で歯がボロボロでお困りの方の治療専門の歯科医院、このは歯科クリニック東京の院長、小西浩介です。
50代・60代で総入れ歯しかないと言われた方や、歯がボロボロで総入れ歯になりそうと不安な方は当院に多く来院されます。

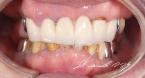
50代・60代で総入れ歯しかないと言われた方の治療前

50代・60代で総入れ歯しかないと言われた方の治療後
そのような方でも、歯を残せる場合には総入れ歯ではない方法を、総入れ歯になるとしてもきちんとした治療で、当院で治療を受けられた方の症例集を紹介します。
このブログを通じて、総入れ歯になるかもしれないとお悩みの方が少しでも前向きになっていただければ幸いです。
このブログは、総入れ歯やドイツ式入れ歯(テレスコープ義歯)治療を専門としている、学会やコンペティションにて歯がボロボロの方をきれいに治療する分野で数々の受賞歴を持ち、全国の歯科医師に多数の依頼講演と執筆歴がある「このは歯科クリニック東京」の院長である小西浩介が執筆しております。

【執筆者紹介】全国の歯科医師に総入れ歯・ドイツ式入れ歯(テレスコープ義歯)を教育する院長 小西浩介の経歴紹介
このブログも含め、歯がボロボロ、歯を失った方でお悩みの方への治療に関する私が執筆した医療ブログを以下にまとめていますので、いつでも見返せるようにブックマークに登録していただいてから読み進めていただければと思います。
この記事の内容は、
- 50代・60代で「総入れ歯しかない」と言われるのはどのような状態?
- 総入れ歯を回避できる可能性はあるのか?
- 「インプラントは不安・できない」という方にはインプラントはお勧めしない
- 総入れ歯とインプラント以外の選択肢とは
- 60代で総入れ歯を回避できた症例
- 60代でインプラントを選ばなかった症例
- 50代で上あごは総入れ歯と下あごは歯を残した症例
- 総入れ歯やテレスコープ義歯の費用と治療期間について
- まとめ| 50代・60代で総入れ歯と言われた方へ
50代・60代で「総入れ歯しかない」と言われるのはどのような状態?
長年歯医者に行けず、歯がボロボロで総入れ歯になるかもしれないとお悩みの方や、やっとの思いで歯医者に行くも総入れ歯しかないと言われた方など、不安でこれからどうなるんだろうと心配な方も少なくありません。

50代女性の治療前

60代男性の治療前
実際に50代60代で総入れ歯しかないと言われた方や、ご自身で総入れ歯になるかもしれないと思われている方は次のようなお口の中の状態の方が多い印象です。
- 重度歯周病により多くの歯がぐらぐらしている
- 奥歯を多く失ったり、被せ物が多く咬み合わせが崩れている
- ブリッジをしていた影響で支えの歯が弱くなっている
- 残っている自分の歯の本数が少なくなっている
- 歯はあるが重度の虫歯で抜かないといけないような歯が多い
医学的に見れば、全ての歯を抜いて総入れ歯が妥当と判断となる場合もありますが、実際には、上記のような「総入れ歯しかない」と言われたケースでも、残せる歯がゼロという状態は当院ではそれほど多くありません。
【関連記事】50代60代で総入れ歯の人はいますか?歯がボロボロ治療専門の歯科医師が解説
重要なのは、全ての歯を抜いてインプラントや総入れ歯にする前に、歯を残せるか、歯を残せない場合はどうなるのかとイメージを歯科医師に相談することです。
ここでは、50代60代の方で総入れ歯になるかもしれないという実際の患者さんの症例集を解説しますので、今後のご参考になればと思います。
総入れ歯を回避できる可能性はあるのか?
「総入れ歯を回避したい」と考える方は少なくありません。
総入れ歯を回避できたとしても使い勝手が悪い部分入れ歯の場合、非常に苦痛となることがあります。
当院では、総入れ歯を回避できるかどうかは治療前の初診時のご相談である程度判断ができお伝えすることができます。
例え歯がボロボロで、歯が少なかったとしてもインプラントでも普通の入れ歯でもない、ドイツ式入れ歯(テレスコープ義歯)で生活ができるようになっていますのでご安心いただければと思います。

治療前

治療後

治療後の見た目
【関連記事】歯がボロボロで総入れ歯にしたい方におすすめの治療方法
「インプラントは不安・できない」という方にはインプラントはお勧めしない
総入れ歯を避けたい一方で、
- インプラント手術が怖い
- 全身疾患がある
- 骨量不足と言われ骨を造成する手術が必要と言われた
- 費用面が不安
- 歯がない期間があると言われた
という理由で、インプラントを選択できない方も多くいらっしゃいます。

インプラントは優れた治療法ですが、すべての方に適しているわけではありません。
不安を抱えたまま手術を行うことが、その方にとって最善とは限りません。
当院では、インプラント治療も行なっているものの、インプラントが不安な方に無理に勧めることは一切ありません。
【関連記事】インプラントが怖い方へ|歯をなるべく残して“手術なしで噛める”方法
総入れ歯とインプラント以外の選択肢とは
総入れ歯かインプラントか、という二択で説明されることは少なくありません。
しかし、自分の歯を残したい、インプラントはやりたくない、普通の入れ歯をしたくないという方にとっては、非常に悩ましいところです。
ですが、実際にはその中間に位置する治療法があります。
- 弱くても残せる歯を活かす
- 将来的にその歯を失っても大掛かりな治療が不要
- 何度も治療を繰り返さない
その代表的な方法の一つが、ドイツ式入れ歯(テレスコープ義歯)です。
ドイツ式入れ歯(テレスコープ義歯)という治療法
ドイツ式入れ歯(テレスコープ義歯)は、
- 残せた歯に内冠(ないかん)を装着して歯を保護する
- 内冠の上に義歯(外冠:がいかん)を装着する構造で金属のバネ(クラスプ)は使用しない
- 将来残した歯を失っても継続使用可能
という一般的な入れ歯にはない特徴を持つ義歯です。

治療前

治療後

治療後の見た目
その他のメリットは、
- 自分の歯を残しているため、使い心地が総入れ歯とは違う
- 自分の歯を支えにするため義歯が横ずれしにくいため入れ歯が痛くなりにくい
- 金属のバネ(クラスプ)は使用しないため歯に負担がかかりにくく、見た目も自然
などがあります。
「総入れ歯しかない」と言われたケースでも、ご自身の歯が一本でも残っていれば設計可能な場合があります。
もちろん、適応には条件があります。
しかし先ほどの総入れ歯かインプラントかの二択ではなく、第三の選択肢として検討する価値があり、総入れ歯は回避したい、普通の入れ歯はしたくない、インプラントはしたくないという方には非常に魅力的な治療方法となりえます。
【関連記事】テレスコープ義歯を完全解説!特徴、種類、メリット、費用は?

【症例集】歯がボロボロでもドイツ式入れ歯(テレスコープ義歯)で歯の悩みがなくなるBefore、After!治療方法と費用を掲載
60代で総入れ歯を回避できた症例

治療前

治療前の見た目
60代女性で、歯がボロボロで総入れ歯になるかもしれないので不安だが治療したいという主訴で、食事や通常の生活も苦労されているようでした。
上顎の歯にはブリッジが入っており、ブリッジが何回もとれてはつけて、またブリッジがとれそうということでした。
上顎のブリッジの歯は虫歯と歯周病になっており、たしかに総入れ歯になる可能性もある状態でした。

また、下顎の歯も虫歯と歯周病になっており、下顎も総入れ歯になってしまう可能性もある状態でした。
上下ともにもともと歯がないところもありましたので、上下全体的に治療が必要とお話ししました。
精密検査の結果、弱い歯が多いものの、どの歯も抜歯をせず残せる可能性が高いことを私からご説明をしました。
しかし、弱い歯であるため、一般的な入れ歯ではすぐに歯がダメになってしまう可能性が高く、インプラントもご希望ではなかったため、上下ともドイツ式入れ歯(テレスコープ義歯)が最善であると判断し、患者さんの治療のご希望のもと治療を進めることになりました。
【関連記事】テレスコープ義歯を完全解説!特徴、種類、メリット、費用は?
まずは、上顎の総入れ歯を回避するため、ブリッジを外して歯を残せるよう治療を行いますが、良かれと思ってブリッジを外して重度虫歯だった場合、同日に仮歯すら装着できない可能性があります。


上下に仮歯と仮義歯を装着している状態

上下に仮歯と仮義歯を装着している状態の見た目
したがって、ブリッジを外す前にドイツ式入れ歯(テレスコープ義歯)の仮義歯をあらかじめ用意しておき、それからブリッジを外して歯の治療を即日で終えてその日に仮義歯を装着します。

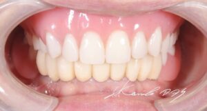
治療後

治療後の見た目
治療を終えて、食事を含め生活ができるようになった、自分の歯を残せたことが何より嬉しいとお話しされていました。
ここで重要なのが、2つです。
1つ目は、弱い歯にはあまり負担をかけないドイツ式入れ歯(テレスコープ義歯)を選択をしたこと。
【関連記事】テレスコープ義歯を完全解説!特徴、種類、メリット、費用は?
2つ目は、もしその歯が将来抜歯に至っても簡単な修理でそのまま継続使用可能で、最終的に総入れ歯としても使うことができることです。
【関連記事】50代60代で総入れ歯にしたい方へ|歯が1本でも残せるならテレスコープ義歯で解決
60代でインプラントを選ばなかった症例

治療前

治療前の見た目
60代男性、総入れ歯になるかもしれない不安と食事も噛むことができず、全て丸呑みしていて健康に影響が出ていた患者さんです。
精密検査の結果、どの歯も抜かずに歯を残す見込みが高いことを説明し、ドイツ式入れ歯(テレスコープ義歯)をご提案しました。
患者さんはこの年代でインプラントをして、介護が必要になったとき大変になるかもしれないという不安もお持ちでした。
この方にも速やかに歯の治療と、仮義歯を入れ、仮義歯の時からなんでも食べれるようになり、見た目も良くなり、家族、お孫さん方にも喜んでいただいたとお話しされていました。
【関連記事】総入れ歯で歯がない期間の食事はどうすればいいのか?解決策を解説します

仮義歯の見た目
ドイツ式入れ歯(テレスコープ義歯)は弱い歯であっても1本でも残すことができれば、適応になる可能性があります。
1本でもドイツ式入れ歯(テレスコープ義歯)の支えにすることで、歯が1本もない総入れ歯とは安定感、噛む感覚が全く異なります。

治療後のドイツ式入れ歯(テレスコープ義歯)の内冠の状態

治療後のドイツ式入れ歯(テレスコープ義歯)の見た目
加えて、もしその歯が将来抜歯に至っても簡単な修理(義歯修理7700円税込)でそのまま総入れ歯としても使用することができますので、総入れ歯になるかもしれないという方には費用対効果に優れている治療と言えます。
【関連記事】総入れ歯とテレスコープ義歯(ドイツ式入れ歯)の違いと選び方
50代で上あごは総入れ歯と下あごは歯を残した症例

治療前
50代女性、上下とも重度歯周病と虫歯になっており、歯がグラグラになってずっと歯に悩んでいたが、子育てで歯医者に行くタイミングがなかったとお話しされていた患者さんです。
お口の中には過去に他院で行ったインプラントが何本か入っていましたが、どれもインプラント周囲炎という歯周病の状態になっており、そのインプラントも撤去しなければならない状態でした。
精密検査の結果、上下とも残せる歯はあるものの、歯の状態と治療費用の兼ね合いで、上あごの歯は全て抜いて総入れ歯、下あごは何本か歯を残してドイツ式入れ歯(テレスコープ義歯)という治療の計画で進めることにしました。

治療後
治療が終わってからお話しされていたのが、ご本人様は、総入れ歯しかないと思われていたそうで、総入れ歯になったらどうなるのかという不安で治療に行けなかった、こんなに良くなるならここに早く来ればよかったとお話しされていました。
【関連記事】ドイツ式入れ歯で治療した方の症例集まとめ|お悩み別実例解説
このようなお話もよくいただきますが、患者さんが治療をしようと思ったタイミングがベストだと私は考えており、もっと早くきてもらえればとは全く思ってもなく、お伝えもしておりません。
皆様、ご家庭やお仕事、50代60代では親の介護など、様々な事情があると私は考えています。
歯の治療をしている場合ではなかったというのもよく理解できますし、そもそも歯医者に行きたくないのも私は歯医者ではありますがよくわかります。
このブログや他の私が執筆したブログを通じて、その患者さんの歯医者さんに行くタイミングで、このような治療方法があることをしていただいて、少しでも前向きな気持ちになっていただければ幸いです。
総入れ歯やテレスコープ義歯の費用と治療期間について
ドイツ式入れ歯(テレスコープ義歯)は保険適用外の治療です。
また、総入れ歯は保険内治療の総入れ歯もありますが、保険内治療では全国一律の材質や治療内容となり、歯茎と合わせたり噛み合わせを整えることもなかなか厳しいのが現状です。
当院の総入れ歯治療では、ドイツ式入れ歯(テレスコープ義歯)とほとんど同じ材質、主にヨーロッパ製を使用しており、治療方法も保険内治療ではできないような特殊な治療方法で高い精度で行なっておりますので、全て保険外治療となります。
ドイツ式入れ歯(テレスコープ義歯)は1種類のものではなく、歯の本数、歯の状態によってドイツ式入れ歯(テレスコープ義歯)の種類を歯科医師が選択します。
その種類によって治療費用が異なります。
保険外治療の総入れ歯治療、ドイツ式入れ歯(テレスコープ義歯)治療では、それに関連する治療(抜歯、仮歯、虫歯や歯周病治療等)も全て保険外治療となります。
当院では、治療開始から治療が終わるまでの治療費用が込みのパック治療でご案内しておりますのでご安心いただければと思います。

あくまでも治療費用の目安ですが、
・歯が1本もない場合は、保険外治療の総入れ歯の治療費用は132万円(税込)
・歯が数本の場合で、ドイツ式入れ歯(テレスコープ義歯)のレジリエンツテレスコープという種類の治療費用は231万円(税込)
となります。
【関連記事】テレスコープ義歯(ドイツ式入れ歯)の値段費用を教えてください
治療期間はおよそ半年~1年くらい、前半は1~2週間に一度、後半は1か月に一度のペースで治療を進めております。
東京の当院には、北海道から鹿児島まで全国、海外にお住まいの日本人の方も多数来院されていますので、来院ペースはご相談して決めております。
治療中は仮歯や仮義歯をパック治療に標準で入っていますので、治療して歯がない期間はありませんのでご安心いただければと思います。
【関連記事】ドイツ式入れ歯・テレスコープ義歯の治療の流れ|初診相談から完成まで専門医が解説
また、ドイツ式入れ歯(テレスコープ義歯)で歯を残して、将来その歯を失ったとしても簡単な修理(義歯修理7700円税込)で最終的には総入れ歯としても使用することも可能です。
インプラントも高額となりますが、重要なのは、短期的な費用だけでなく、長期的な治療費用を見据えることです。

例えば、インプラントで数百万円かけて、もしインプラントがダメになったら、もしくは自身の残った歯が抜歯になってまたインプラントとなったときの治療費用も見据えることも重要と思います。
【関連記事】インプラントの寿命を解説|どれくらいもつのか、寿命がきたらどうなるのか?
まとめ|50代・60代で総入れ歯と言われた方へ
「総入れ歯しかない」と言われたとしても、歯がボロボロで総入れ歯になるかもしれないと思っていても、歯を残してドイツ式入れ歯(テレスコープ義歯)にすることができる可能性があります。
もし、歯が1本も残らなかったとしても、当院では総入れ歯で普通の生活をすることが可能です。
【関連記事】総入れ歯とテレスコープ義歯(ドイツ式入れ歯)の違いと選び方
50代・60代では、これまで使ってきた歯が傷むことも多くなってきやすい年代ですが、まだまだ長い人生での食事や会話を楽しんだり、仕事や家族とのイベント、趣味に打ち込んだりと歯で悩むことがなくなれば、より人生が豊かになるものと考えています。
歯をしっかり治すことで、全身の健康が良くなることも当院では珍しくありません。
歯医者が億劫になる気持ちもわかりますが、歯をきちんと治すことで心身ともに良くなれるお手伝いができればと思います。

【症例集】歯がボロボロでもドイツ式入れ歯(テレスコープ義歯)で歯の悩みがなくなるBefore、After!治療方法と費用を掲載

当院で治療をご検討の方は、治療を行う前に初診ではご相談を行っております。
自分にはどのような治療方法が向いているのか、もし治療するとどのような感じになるのか、といった様々な不安な気持ちをご相談いただければと思います。
初回のご相談は、初診料5500円(自由診療)で承っています。
このブログや症例集を通じて、お一人でも、歯で悩んでいる方が少しでも前向きな気持ちになれることを願っています。

執筆者 このは歯科クリニック 院長 小西浩介
【執筆者紹介】全国の歯科医師に総入れ歯・ドイツ式入れ歯(テレスコープ義歯)を教育する院長 小西浩介の経歴紹介
このは歯科クリニック
院長:小西 浩介(ドイツ式入れ歯・テレスコープ義歯・総入れ歯治療専門)
〒113-0001 東京都文京区白山1-33-27 HDCビル1F/2F/B1F

【症例集】歯がボロボロでもドイツ式入れ歯(テレスコープ義歯)で歯の悩みがなくなるBefore、After!治療方法と費用を掲載




