最終更新日:2026年1月19日
ドイツ式入れ歯・テレスコープ義歯の治療の流れ|初診相談から完成まで専門医が解説

ドイツ式入れ歯(テレスコープ義歯)治療専門の歯科医院、このは歯科クリニック東京の院長、小西浩介です。
ドイツ式入れ歯といわれるテレスコープ義歯の治療を検討した際に、
『どのような治療の流れなのか』『歯がない期間はあるのか』『治療はどれくらい大変なのか』といった不安をお持ちの方も多いと思います。
ドイツ式入れ歯といわれるテレスコープ義歯の治療を検討した際に、
『どのような治療の流れなのか』『歯がない期間はあるのか』『治療はどれくらい大変なのか』といった不安をお持ちの方も多いと思います。
今回のブログでは、ドイツ式入れ歯(テレスコープ義歯)の治療の流れを、初診相談から完成、メンテナンスまで、ドイツ式入れ歯(テレスコープ義歯)の治療がどのように進むのかを順を追って解説します。
長い間、歯でお悩みで、これからドイツ式入れ歯(テレスコープ義歯)で治療をしたいと考えている方の不安な気持ちが少しでも和らげば幸いです。
※当院はドイツ式入れ歯(テレスコープ義歯)治療を専門的に行っておりますので、他院での治療の流れとは異なる可能性がありますのでご注意ください。
このブログは、ドイツ式入れ歯(テレスコープ義歯)治療を専門としている、学会やコンペティションにてドイツ式入れ歯(テレスコープ義歯)で数々の受賞歴を持ち、全国の歯科医師に多数の依頼講演と執筆歴がある「このは歯科クリニック東京」の院長である小西浩介が執筆しております。

【執筆者紹介】全国の歯科医師に総入れ歯・ドイツ式入れ歯(テレスコープ義歯)を教育する院長 小西浩介の経歴紹介
このブログも含め、私が執筆した歯がボロボロ、歯を失った方でお悩みの方へのドイツ式入れ歯治療に関する医療コラムを以下にまとめていますので、いつでも見返せるようにブックマークに登録していただいてから読み進めていただければと思います。
この記事の内容は、
- ドイツ式入れ歯(テレスコープ義歯)とはどのような治療か
- ドイツ式入れ歯(テレスコープ義歯)の治療はどのような流れで進むのか
- STEP1|初診相談(治療を始める前に行うこと)
- STEP2|精密検査と治療計画の立案・カウンセリング
- STEP3|土台となる歯の治療・仮歯や仮義歯装着
- STEP4|ドイツ式入れ歯(テレスコープ義歯)の型取り・試し入れ
- STEP5|ドイツ式入れ歯(テレスコープ義歯)の完成・装着
- STEP6|治療終了後、メンテナンスへ移行
- ドイツ式入れ歯(テレスコープ義歯)の治療期間はどれくらいかかる?
- ドイツ式入れ歯(テレスコープ義歯)の治療の流れでよくある質問
- まとめ|ドイツ式入れ歯(テレスコープ義歯)の治療は「段階的に進む安心できる治療」
ドイツ式入れ歯(テレスコープ義歯)とはどのような治療か

ドイツ式入れ歯(テレスコープ義歯)とは、従来の入れ歯とは全く異なるもので、インプラントを埋め込む外科手術がない、ドイツでは100年以上も歴史ある治療方法です。
単に欠損した部分の歯を補うだけでなく、他の歯も治療し義歯に取り込むことで、将来的に悪くなるかもしれない歯を守り、欠損に備えることができる、見た目や食事、会話などの生活を改善してくれる治療方法です。

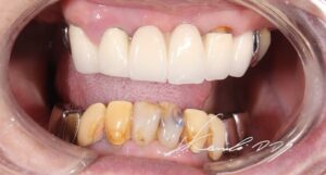
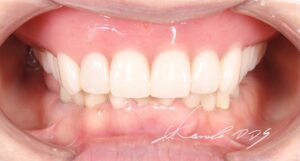
治療前

ドイツ式入れ歯(テレスコープ義歯)で治療した状態
当院には、様々な歯のお悩みを長年抱えた方が、ドイツ式入れ歯(テレスコープ義歯)の治療を受けに全国から大変多く来院されています。
まずは、ドイツ式入れ歯(テレスコープ義歯)を詳しく知りたいという方は以下の私が執筆したブログをご覧いただければと思います。
【関連記事】ドイツ式入れ歯(テレスコープ義歯)を完全解説!特徴、種類、メリット、費用は?
ドイツ式入れ歯(テレスコープ義歯)の治療はどのような流れで進むのか
ドイツ式入れ歯(テレスコープ義歯)の治療をする場合、患者さん個々でお口の中、歯の状態によって細かな治療の流れは違いますが、およその流れは似ています。

当院では、初めての方は初診で、まずは患者さんのお悩みやご希望を院長の私が1時間の診療枠できちんとお伺いします。
皆様の不安に思っていることや、私はどうなるのかといったお話から気持ちを汲み取り、それに合った最善な治療方法やおよその治療費用をお伝えしています。

そして、ドイツ式入れ歯(テレスコープ義歯)をご希望の方は、ドイツ式入れ歯(テレスコープ義歯)の治療の前に、歯の状態や噛み合わせを診断するために精密検査を行います。
精密検査の資料をもとに、私が具体的な治療の計画をたて、現在の歯の状態と併せて患者さんにご説明をし、患者さんのご希望とすり合わせていきます。
治療計画が決まれば、現在のお困りのことを優先しドイツ式入れ歯(テレスコープ義歯)の治療を進めていきます。
治療中は、歯がない期間は作りません。
また、現在歯がボロボロでお困りの方も、治療開始後すぐに仮の歯を入れることができますのでご安心いただければと思います。

治療前

治療開始2回目で仮の歯を入れた状態
詳しいドイツ式入れ歯(テレスコープ義歯)の治療の流れはこれから順にご説明していきます。
STEP1|初診相談(治療を始める前に行うこと)
初診のご予約はこのホームページのWEB予約またはお電話にて承っております。
来院される前に、このホームページに掲載している症例集で治療するとどうなるか、費用はどれくらいかかるのかなど、ある程度内容は把握できると思います。

【症例集】歯がボロボロでもドイツ式入れ歯(テレスコープ義歯)で歯の悩みがなくなるBefore、After!治療方法と費用を掲載
初診時のご相談は、私院長の小西浩介がお話を直接お伺いします。
初診時は1時間の診療枠でじっくりお話をお聞きすることができます。
お話をお聞きした上でお口の中を診察し、およその治療内容や治療費用についてお話しします。
ドイツ式入れ歯(テレスコープ義歯)について全然知らなかったというのは当然で、長年歯でお悩みの方や、長年歯医者に行けなかったという方も非常に多くいらっしゃいます。
まずは、不安なお気持ちに少しでも寄り添えればと思っておりますのでご安心いただければと思います。
なお、当院では治療を無理に勧めるようなことは一切ありませんので、ご安心してください。
初診時相談は5500円税込(保険外診療)となります。
STEP2|精密検査と治療計画の立案・カウンセリング
精密検査は、レントゲン撮影(パノラマレントゲン写真、CT等)、口腔内診査を行います。
ドイツ式入れ歯(テレスコープ義歯)の治療には、お口の中の状態、特に残っている歯の状態や、噛み合わせの状態を事前に歯科医師が十分な診査診断を行うことが必要不可欠です。
というのも、ドイツ式入れ歯(テレスコープ義歯)には、様々な種類のドイツ式入れ歯(テレスコープ義歯)があります。
【関連記事】ドイツ式入れ歯(テレスコープ義歯)を完全解説!特徴、種類、メリット、費用は?
お口の中の状態によって、その患者さんにドイツ式入れ歯(テレスコープ義歯)のどの種類が適しているのか、どの歯が悪くて、どの歯を残せるかなどを、私が時間をかけて判断し、治療の計画をたてます。
レントゲンを撮影してすぐにその場でお話することも可能ですが、治療後のあらゆる可能性や想定をシミュレーションを行うため、精密検査後1日以後にご説明の日をお取りいただいております。
精密検査後、治療計画の立案・カウンセリングにて診察枠1時間のご説明を私から直接お話を差し上げます。

初診時のご相談の時点で、およそのドイツ式入れ歯(テレスコープ義歯)の種類、治療費用についてはお話しできますが、
この精密検査後のご相談では、より具体的に、かつ細かな治療のステップ、治療計画をご説明します。
当院には、初診時のご相談で、今日精密検査までしたいです、という方がほとんどです。
ご相談の時間次第で当日に精密検査まで可能ですが、精密検査までご希望の方や遠方の方はお電話でその旨をお伝えいただければよりスムーズにご案内できます。
あらかじめお電話にてご予約いただければ、午前中に精密検査、午後にご説明も可能です。
精密検査と治療計画の立案・カウンセリングの費用は55,000円税込(保険外診療)必要です。
ドイツ式入れ歯(テレスコープ義歯)は、理解するのが難しい治療であることと、高額な治療費用であるため、当院では治療を進める場合、事前に同意書で十分にご説明をしております。

【関連記事】ドイツ式入れ歯で治療した方の症例集まとめ|お悩み別実例解説
STEP3|土台となる歯の治療・仮歯や仮義歯装着
ドイツ式入れ歯(テレスコープ義歯)はある程度弱い歯も使用することができますが、事前に歯周病や虫歯等の治療を行い、ドイツ式入れ歯(テレスコープ義歯)を支える土台となる歯の治療を行います。
例えば、ブリッジや被せ物があり、内部の歯が虫歯になっている場合は、外して治療をしますが、治療した当日中に必ず仮歯を入れるようにしています。

治療前

治療2回目に仮歯と仮義歯を入れた状態
一般的にはブリッジや被せ物を外して仮歯を発注するので、しばらく歯がない状態が続くことがよく行われていますが、当院では、その場で私がハンドメイドで作り、すぐに歯を入れて患者さんが見た目や食事に困らないようにしています。
しかし、もう少し歯の状態が厳しい方ですと、ブリッジが取れそう、歯が抜けそう、という方で、まずはやってみましょうと治療をし始めると、中の歯が厳しく仮歯が入らないという事態も想定されます。
そのような方にはあらかじめ、治療をする前にドイツ式入れ歯(テレスコープ義歯)の仮の義歯を用意しておき、治療をした日に仮の義歯が入るようにしています。
ですので、歯がない期間はありませんのでご安心して治療を受けていただければと思います。

治療前

ブリッジを外した状態

即日で仮義歯を入れた状態

即日で仮義歯を入れた見た目
仮の義歯を入れてからは、食事や会話等は少しずつ慣れてきます。
この慣れの具合は、人によって大きく異なり、入れてからすぐになんともないという方もいれば、違和感が強いという方もいますが、皆さん共通して言えることは、多くの方は1か月もあれば慣れてきますので、ご安心いただければと思います。

治療前

治療前

即日で仮義歯を装着した状態
STEP4|ドイツ式入れ歯(テレスコープ義歯)の型取り・試し入れ
土台となる歯の治療や、仮歯や仮義歯の治療が済めば、最終的なドイツ式入れ歯(テレスコープ義歯)の型取りを行います。
ここからのドイツ式入れ歯(テレスコープ義歯)の治療の流れは、
- 内冠の型取り
- 外冠の型取り
- 外冠の試し入れ
- 完成・装着
- 調整や確認
- 終了後メンテナンス
という治療の流れとなります。
まずは、ドイツ式入れ歯(テレスコープ義歯)の内冠の型取りを精密に行います。

内冠製作完了後、来院していただき、内冠が歯に問題なく入るか確認します。

そして、内冠を歯に接着剤で固定せず、そのまま型取りを行い、外冠を製作するための模型を準備します。
内冠をお口の中に入れて型取りしますので、内冠はこちらで回収しますので装着したままお帰りにはならず、元の仮歯・仮義歯をつけてお帰りになっていただきます。
その内冠がある模型の上で、直接外冠を製作し、次の来院時に外冠の試し入れをします。

ここでは、外冠が完成する前の工程で止めた状態にして試し入れをしますので、歯の色や床(しょう:欠損した部分を補う部分)の材質は、最終的なドイツ式入れ歯(テレスコープ義歯)ではありませんが、およその見た目や噛み合わせ、内冠へのフィットが適切であるかを確認します。
外冠の試し入れでは、実際に患者さんのお口の中に装着して、見た目、形がご希望と乖離していないかを見てご確認いただきます。

そして、問題がなければ次回完成となり内冠と外冠の装着となります。
余談で少し専門的ですが、ドイツ式入れ歯(テレスコープ義歯)の治療でよく他院であることが、内冠を先に歯に接着剤でつけて型取りをし、直接内冠に外冠を製作せず、模型上で製作する工程もあるようですが、私はそのような工程は行いません。
なぜなら、直接内冠に外冠を製作しなければ想定するフィットにならないからです。

その製作方法は、日本独自でされている方法で、本場ドイツでは開発された100年以上も前からこの直接製作する方法で行われています。
このあたりの違いは、患者さんは判断しにくい部分だとは思いますので、何が良い悪いかではなく、患者さんがどの歯科医師の技術を信じるかだと思います。

STEP5|ドイツ式入れ歯(テレスコープ義歯)の完成・装着
ドイツ式入れ歯(テレスコープ義歯)の外冠が完成したら、いよいよ装着となります。
仮歯や仮義歯を外し、ドイツ式入れ歯(テレスコープ義歯)を装着します。

試し入れの状態

完成した状態
装着後から徐々に歯や歯茎に合ってきますので、痛みが出ていないか、噛み合わせが問題ないかなど、何回か調整をして治療終了となります。
【関連記事】東京でドイツ式入れ歯・テレスコープ義歯のおすすめ歯科医院の探し方
STEP6|治療終了後、メンテナンスへ移行
ドイツ式入れ歯(テレスコープ義歯)の治療終了後、メンテナンスに移行します。
当院にはドイツ式入れ歯(テレスコープ義歯)専門の歯科衛生士が複数いますので、治療中から治療終了後も担当制でフォローしています。

メンテナンスとは、内冠の歯の周りや外冠、全てをドイツ式入れ歯(テレスコープ義歯)専門の歯科衛生士がクリーニングをします。
これで清潔にかつ、外冠についた着色なども綺麗にできます。
また、必ず私もチェック、必要によりドイツ式入れ歯(テレスコープ義歯)の調整を行います。
メンテナンスはお口の中の状態によって異なりますが、6か月~1年に一度の頻度を推奨しています。
【関連記事】テレスコープ義歯(ドイツ式入れ歯)は何年使えますか?テレスコープ義歯の寿命を解説
ドイツ式入れ歯(テレスコープ義歯)の完成装着後に歯科衛生士や私から取り扱いをご説明しますので、ご安心いただければと思います。
ドイツ式入れ歯(テレスコープ義歯)の治療期間はどれくらいかかる?
ドイツ式入れ歯(テレスコープ義歯)の治療期間は早くて半年、およそ1年くらいかかります。
その期間の前半は1~2週間に1度の来院頻度で、後半は1か月に1度の来院頻度となります。
遠方の方やお仕事、ご用事でご多忙の方は、前半1か月に1度の来院頻度で治療する方もいらっしゃいますので、ご相談いただければと思います。
当院では、患者さんのご都合に合わせて毎回一気に治療が進むように、1回の診療で2時間程度かけることができますので、この点も患者さんにどんどんお口の中の状態が良くなって嬉しいと言われることが多々あります。
ドイツ式入れ歯(テレスコープ義歯)の治療の流れでよくある質問
Q:ドイツ式入れ歯(テレスコープ義歯)の治療で虫歯や歯周病の治療もやっていただけますか?
A:行います。当院は、虫歯や歯周病の治療費用も入ったパック料金となっておりますので、ご安心ください。
【関連記事】テレスコープ義歯(ドイツ式入れ歯)の値段費用を教えてください
Q:ドイツ式入れ歯(テレスコープ義歯)の治療を受けたいのですが、仕事や家族に気づかれないのか不安ですが、治療はできますか?
A:人前で話すお仕事の方でも皆様、ドイツ式入れ歯(テレスコープ義歯)の治療を受けています。大事なイベント事がある場合でも、あらかじめご相談いただければ支障がなく進めることも可能です。ご家族に言えず、秘密で治療をしたいという方もいますので、ご希望に合わせて進めておりますのでご相談いただければと思います。
そのほかにもドイツ式入れ歯(テレスコープ義歯)に関連した多くのご質問をQ&A方式でまとめていますので、こちらもご確認いただければと思います。
【関連記事】テレスコープ義歯(ドイツ式入れ歯)のよくある質問Q&Aまとめ
まとめ|ドイツ式入れ歯(テレスコープ義歯)の治療は「段階的に進む安心できる治療」
今回はドイツ式入れ歯・テレスコープ義歯の治療の流れをステップ毎に解説しました。
しかし、ドイツ式入れ歯(テレスコープ義歯)で治療する場合、お口の中の状態が全く同じ方はいません。
そのため、患者さんによって細かな流れは違います。
まずは、当院にお越しいただければ、あなたに合ったドイツ式入れ歯(テレスコープ義歯)の治療の種類、治療計画、ステップをお話しできますので、まずはご相談いただければと思います。
まだ、来院に抵抗ある方は、お口の中のお悩み別の状態で、ご自身に近い状態が見つかると思いますので、ご確認いただき少しでもご安心いただければと思います。

【関連記事】ドイツ式入れ歯で治療した方の症例集まとめ|お悩み別実例解説
上記のリンク先を見失ってもホームページの右上のMENUのボタンを押して、治療費用や解説つきの症例集がいつでもご確認できます。

【症例集】歯がボロボロでもドイツ式入れ歯(テレスコープ義歯)で歯の悩みがなくなるBefore、After!治療方法と費用を掲載
【書籍紹介】ドイツ式入れ歯(テレスコープ義歯)がよくわかるおすすめ書籍
当院でドイツ式入れ歯(テレスコープ義歯)の治療をご検討の方は、治療を行う前に初診でご相談を行っております。
初回のご相談は、初診料5500円(自由診療)で承っています。
このブログや症例集を通じて、お一人でも、歯で悩んでいる方が少しでも前向きな気持ちになれることを願っています。

執筆者 このは歯科クリニック 院長 小西浩介
【執筆者紹介】全国の歯科医師に総入れ歯・ドイツ式入れ歯(テレスコープ義歯)を教育する院長 小西浩介の経歴紹介
このは歯科クリニック
院長:小西 浩介(ドイツ式入れ歯・テレスコープ義歯・総入れ歯治療専門)
〒113-0001 東京都文京区白山1-33-27 HDCビル1F/2F/B1F





