レジリエンツテレスコープとは|メリット・寿命・費用・症例を専門医が解説

ドイツ式入れ歯(テレスコープ義歯)治療専門の歯科医院、このは歯科クリニック東京の院長、小西浩介です。
今回のブログでは、ドイツ式入れ歯(テレスコープ義歯)の種類の1つであるレジリエンツテレスコープを徹底解説します。
歯が数本しか残らない、総入れ歯になるかもしれないという方に向いているレジリエンツテレスコープには、総入れ歯では得られない安定性と噛み心地があります。
しかし、ドイツ式入れ歯(テレスコープ義歯)全般含め、非常に高度な技術と知識が歯科医師に問われる難しい治療の1つですので、注意点も含めて解説します。
このブログは、ドイツ式入れ歯(テレスコープ義歯)治療を専門としている、学会やコンペティションにてドイツ式入れ歯(テレスコープ義歯)で数々の受賞歴を持ち、全国の歯科医師に多数の依頼講演と執筆歴がある「このは歯科クリニック東京」の院長である小西浩介が執筆しております。

【執筆者紹介】全国の歯科医師に総入れ歯・ドイツ式入れ歯(テレスコープ義歯)を教育する院長 小西浩介の経歴紹介
このブログも含め、私が執筆した歯がボロボロ、歯を失った方でお悩みの方へのドイツ式入れ歯治療に関する医療コラムを以下にまとめていますので、いつでも見返せるようにブックマークに登録していただいてから読み進めていただければと思います。
この記事の内容は、
- レジリエンツテレスコープとは?仕組みと特徴をわかりやすく解説
- 総入れ歯にはないレジリエンツテレスコープのメリット
- どんな人に向いている?レジリエンツテレスコープの適応症と症例紹介
- レジリエンツ・コーヌス・リーゲルの違い(他のテレスコープ義歯との比較)
- レジリエンツテレスコープの寿命と長持ちさせるポイント
- レジリエンツテレスコープの費用
- レジリエンツテレスコープの治療の流れ|初診相談~完成までのステップと治療期間
- レジリエンツテレスコープのよくある質問(FAQ)
- まとめ|レジリエンツテレスコープは総入れ歯にせず“歯を残しながら噛める”治療法
レジリエンツテレスコープとは?仕組みと特徴をわかりやすく解説
レジリエンツテレスコープとはどんな義歯なのか|ドイツ発の精密義歯
レジリエンツテレスコープとは、ドイツ式入れ歯(テレスコープ義歯)の種類の1つです。
【関連記事】ドイツ式入れ歯(テレスコープ義歯)を完全解説!特徴、種類、メリット、費用は?
レジリエンツテレスコープは、歯に内冠(ないかん)という精密な金属のキャップをつけ、その上から義歯側の外冠(がいかん)をはめ込む構造 をしています。

治療前

治療後の外冠を装着した状態、内冠をつけた自身の歯が外冠の内部に組み込まれている

治療後の見た目
レジリエンツテレスコープは、「カチッ」と歯でロックしたり、つかんだりするタイプではなく、
歯に負担をかけないように、内冠と外冠が “吸い付くようにフィットする” 吸盤のような吸着の仕組みと内部の歯が義歯のずれを防ぐ仕組みで成り立っています。
この構造によってレジリエンツテレスコープは、
- 義歯が外れにくい
- 義歯が横ずれしにくく痛みが出にくい
- 噛んだ感覚を残せる
という特徴を持ちます。
ドイツ式入れ歯(テレスコープ義歯)はドイツで100年以上の歴史があり、総入れ歯になるかもしれないという患者さんに選ばれる、インプラントではない義歯として広く知られています。
【関連記事】ドイツ式入れ歯(テレスコープ義歯)を完全解説!特徴、種類、メリット、費用は?
総入れ歯・一般的な部分入れ歯との構造の違い
レジリエンツテレスコープは、総入れ歯や一般的な入れ歯とは大きく構造が違います。
一般的な入れ歯(部分入れ歯)の構造

- バネやそれに類似した構造で歯に引っ掛けて入れ歯を支える
- 自分の歯に横揺れの負担がかかる
- 痛みや外れやすさが起きやすい
- 保険内治療でも保険外治療の入れ歯でもひっかけるタイプは使用が難しい場合がある
総入れ歯の構造

- 粘膜だけで支えるため動きやすい
- 噛む力が入りにくい
- 入れ歯がズレたり外れたりしやすい
- ただし、精度の高い総入れ歯の場合、上記を補償できる可能性がある
レジリエンツテレスコープの構造

- 残っている歯の上に内冠をつけ、義歯側の外冠で“はめ込む”
- バネを使わず、歯と粘膜で支える
- 噛む力が全体に分散されるため痛みが出にくい
- 歯が弱くても支えとして活かせる、守れる
つまり、レジリエンツテレスコープは「歯を利用することで噛み心地と義歯の安定性を高められる」義歯の種類です。
【関連記事】50代60代で総入れ歯にしたい方へ|歯が1本でも残せるならテレスコープ義歯で解決
総入れ歯にはないレジリエンツテレスコープのメリット
1本でも歯を残して支えにできる|総入れ歯を回避可能
歯が多少弱くても、グラグラしていても、義歯の支えとして活用できる のがレジリエンツテレスコープの強みです。

治療前:上顎の咬む面から見た状態

残せた歯に内冠を装着している状態
他院で全ての歯を抜いて総入れ歯、全てインプラントと言われた方でも、歯を1本でも残せる場合は適応になる場合が多いです。
これにより得られるメリットは
- 総入れ歯より噛み心地を残せる
- 歯があった顎の骨が痩せにくくなる
- 従来の入れ歯と比較して見た目が自然
- 歯を全て抜くことなく残せるため、精神的な負担が少ない
外れにくく、噛みやすく高い安定性
ドイツ式入れ歯(テレスコープ義歯)の特徴である「二重構造」により、
義歯が 前後左右に揺れにくく、強い安定性 を持ちます。
- 話しても外れにくい
- 食事中に浮きにくい
- 硬いものも噛みやすい
総入れ歯になったらどうしようと悩んでいた方でも、レジリエンツテレスコープで治療をして劇的に改善するケースは珍しくありません。
【症例集】歯がボロボロでもドイツ式入れ歯(テレスコープ義歯)で歯の悩みがなくなるBefore、After!治療方法と費用を掲載
歯を後から失っても“作り替え不要”で修理できる
一般的な入れ歯の場合、 歯を1本失うたびに作り替えが必要ですが、レジリエンツテレスコープは最終的に歯が全て抜けたとしても総入れ歯としても使えるように私は設計しています。
したがって、歯が抜けても原則作り替えはせず、義歯の内部構造に若干の修理を加えるだけで継続して使用可能であるため、長期間使える仕組みとなっています。
もし、全ての歯を失ったとしても総入れ歯としても使っていただくことができます。
これによって、将来の治療コストや、今後の大きな治療を防ぐというメリットを受けることができます。
見た目が自然で、寝るとき外さなくてもよい生活のしやすさ
レジリエンツテレスコープは、
- 金属バネがないため自然に見える
- 外れにくいため、人の目を気にしなくていい
- 就寝時も外さず生活できる
- 就寝時に外さないため、入れ歯ということを家族に気づかれない
多くの患者さんに寝る時もつけていいのはとても有難いとお話をいただきます。
レジリエンツテレスコープの注意点|費用と歯科医師の技術
レジリエンツテレスコープは優れた治療法ですが、
- 保険外治療のため費用が高額
- 高度な治療技術が必要
- 日本で十分に治療できる歯科医師が少ない
という点があります。
ドイツ式入れ歯(テレスコープ義歯)だからどこの歯医者でもいいということは全くありません。
歯科医師の正しい診断と適切な設計、治療技術が結果を大きく左右します。

どんな人に向いている?レジリエンツテレスコープの適応症と症例紹介
ここでは「どんな方がレジリエンツテレスコープの適応で向いているのか」を実際の症例と併せて紹介します。
歯がボロボロ・噛めない状態の方
歯が全体的に弱り、歯の本数が少なくてもレジリエンツテレスコープで治療できることが多いです。
症例:50代男性(歯がボロボロで噛めない状態)

治療前

治療前
- 上顎の歯が残るのが1本
- 下顎の歯は本数は多いもボロボロの状態
- 見た目や食事等の日常生活の悩みが大きい
- インプラントは避けたい
上顎の歯を1本利用し、レジリエンツテレスコープで治療し、下顎は歯の本数と状態で判断してドイツ式入れ歯(テレスコープ義歯)の種類の1つであるコーヌステレスコープで治療をしました。

治療後

治療後
【関連記事】コーヌステレスコープ義歯とは|種類、メリット、デメリット、費用を解説します
インプラントを避けたい/手術が怖い方
- インプラントを何本もする手術が怖い
- 骨が薄いと言われたのでリスクや合併症が心配
- 過去にインプラント治療を受けたが歯周病になってもうやりたくない
という方で歯が1本でも残せる場合、レジリエンツテレスコープの適応になるケースが多いです。
症例:50代女性(インプラントをしたくないケース)

治療前
過去にインプラントを3本やったものの、全てのインプラントが悪くなってしまい、かつ他の歯も悪くなってしまい悩んでいた患者さんです。

治療後
残せる歯を残してレジリエンツテレスコープで治療をし、歯で悩んでいたのがなくなったとお話しされていました。
【関連記事】インプラントは絶対ダメ?後悔する前に知るべき“真実”と安全な代替法
総入れ歯と言われたが、1本でも歯を残したい方
歯がほとんど残っていない状態で他院で全て抜歯で総入れ歯、インプラントと言われた方でも、1本でも支えにできる歯があれば適応になる場合があります。
症例:60代女性(他院で総入れ歯と言われていたケース)

治療前
歯が歯周病や虫歯で歯が悪くなってしまい、歯医者に行っては歯が抜けないように接着剤で固定を何度も繰り返して長年歯で悩んでいた方です。

治療後
このように、自分の歯が1本でも残せる場合は、レジリエンツテレスコープにすることで総入れ歯よりも安定させることが可能です。
【関連記事】50代60代で総入れ歯にしたい方へ|歯が1本でも残せるならテレスコープ義歯で解決
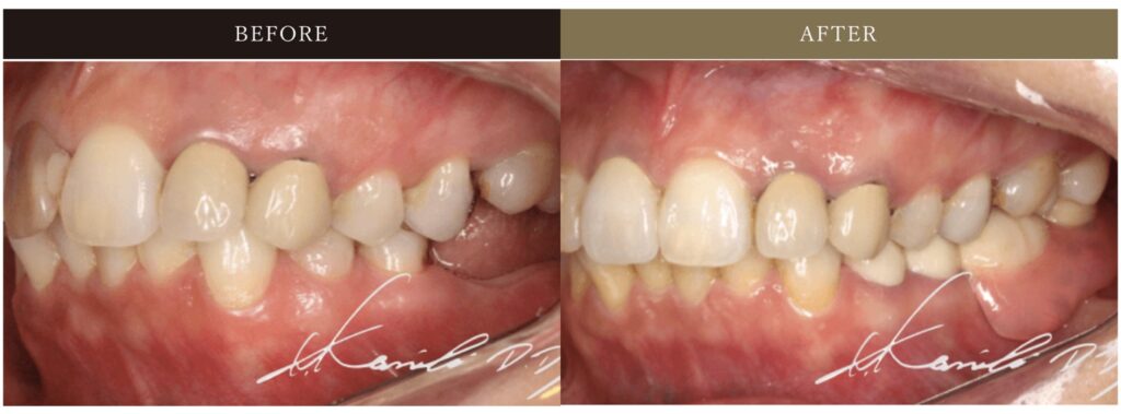
部分入れ歯が痛い・外れる・合わない方
一般的な部分入れ歯特有のお悩みの
- 入れ歯のバネで歯が痛む
- 入れ歯のガタつき
- 見た目の問題
特に歯の欠損の本数が多くなると、これらのお悩みの度合いがより深刻になってくることがあります。
この問題を解決できる義歯がレジリエンツテレスコープです。
症例:60代女性(保険外入れ歯も合わないケース)

治療前
過去にインプラントも保険外入れ歯の治療も受けたが、悩まれていた患者さんです。

治療後
上顎は自分の歯1本と、過去に入れられたインプラントを残し、レジリエンツテレスコープで治療をしました。

治療後
痛みがなく、外れない義歯に改善され見た目も良くなって嬉しいとお話しされていました。
下顎の歯は欠損があるものの、自分の歯の本数が多く状態も良かったことからコーヌステレスコープで治療をしました。
【関連記事】コーヌステレスコープ義歯とは|種類、メリット、デメリット、費用を解説します
歯周病で歯がグラグラしている方
歯周病で揺れている歯でも、レジリエンツテレスコープで治療をして歯の揺れが抑えらるケースも多々あります。
症例:60代女性(重度歯周病ケース)

治療前

治療前
歯周病の歯で、どんどん歯が抜け他の歯も今にも抜けそう、という患者さんです。
残せる歯を残して、残した歯に負担がかかりにくく、義歯の吸着効果が高いレジリエンツテレスコープで治療をし、動きにくい義歯となりました。

治療後
【関連記事】総入れ歯とテレスコープ義歯(ドイツ式入れ歯)の違いと選び方

【関連記事】ドイツ式入れ歯で治療した方の症例集まとめ|お悩み別実例解説
レジリエンツ・コーヌス・リーゲルの違い|他のテレスコープ義歯との比較
ドイツ式入れ歯(テレスコープ義歯)には、レジリエンツテレスコープの他にも複数の種類があり、患者さんのお口の中の状態で使い分けます。

レジリエンツテレスコープが向く症例
- 歯が残るが、本数が少ない、弱い状態
特に50代60代で総入れ歯になるかもしれないという方に向いています。

【関連記事】50代60代で総入れ歯にしたい方へ|歯が1本でも残せるならテレスコープ義歯で解決
コーヌステレスコープが向く症例
- 残っている歯も本数が多い、健康な歯も数本ある状態
お口の中の状態(歯の本数や状態)が比較的良好であれば、レジリエンツテレスコープよりもコーヌステレスコープが向いています。

【関連記事】コーヌステレスコープ義歯とは|種類、メリット、デメリット、費用を解説します
リーゲルテレスコープが向く症例
- 奥歯2本のみ失っていて他の歯は全て健康な状態
リーゲルテレスコープはドイツ式入れ歯(テレスコープ義歯)の中でも唯一歯に固定している内冠同士を連結します。

【関連記事】リーゲルテレスコープ義歯とは|種類、メリット、デメリット、費用を解説します
したがって、どこかの歯が悪くなると、全て治療がやり直しとなるため、当院ではリーゲルテレスコープをする症例は極めて限られます。
リーゲルテレスコープをすることを検討される方は十分に説明を受けることをおすすめします。

専門医がテレスコープを使い分ける理由
歯の状態(歯周病、虫歯、神経の有無)、噛み合わせ、将来のリスクを含め、
最適なドイツ式入れ歯(テレスコープ義歯)の種類を歯科医師が選択し、設計デザインすることが非常に重要です。
【関連記事】ドイツ式入れ歯(テレスコープ義歯)を完全解説!種類、特徴、種類、メリット、費用は?
私はドイツ式入れ歯(テレスコープ義歯)を専門としておりますが、この選択やデザイン、歯科医師の技術で結果が大きく異なってきますので、これからドイツ式入れ歯(テレスコープ義歯)をご検討の方は十分にリサーチされることをおすすめします。
レジリエンツテレスコープの寿命と長持ちさせるポイント
長寿命を実現できる理由
レジリエンツテレスコープは、噛む力を歯と粘膜に分散するため、
構造的に歯に負荷がかかりづらく、義歯自体も壊れにくく長持ちしやすい義歯です。
実際に私が治療した方で10年以上使っている方も多数います。
ドイツを中心とするヨーロッパでは、レジリエンツテレスコープに向いている症例で治療の種類によって、どの治療が最も長持ちしたかというデータ(Erich Körberら1987)では、レジリエンツテレスコープが最も長持ちしたというエビデンスもあります。
【関連記事】テレスコープ義歯(ドイツ式入れ歯)は何年使えますか?テレスコープ義歯の寿命を解説
歯を失っても作り替えず“修理”で対応できる強さ
もし、自分の歯を将来失っても、レジリエンツテレスコープの外冠の内部構造を修理し継続的にしようすることができるため、将来にわたっての治療コストを抑えながら長期使用をすることも可能となります。

【症例集】歯がボロボロでもドイツ式入れ歯(テレスコープ義歯)で歯の悩みがなくなるBefore、After!治療方法と費用を掲載
長持ちさせるためのメンテナンス|頻度と注意点
レジリエンツテレスコープで治療し終えた後は、当院でドイツ式入れ歯(テレスコープ義歯)専門の歯科衛生士によるクリーニングとメンテナンス、チェックが必要です。
- 3〜6ヶ月ごとの定期検診
- 歯周病や虫歯に罹患していないかの管理
- 噛み合わせチェック
- 内冠と外冠の清掃状態や不具合のチェック
これによりレジリエンツテレスコープの寿命を手助けします。
ただし、遠方の方等は1年に1回程度のメンテナンスにしている方もいますので、患者さんにベストな管理を決めていますのでご安心いただければと思います。
【書籍紹介】ドイツ式入れ歯(テレスコープ義歯)がよくわかるおすすめ書籍
レジリエンツテレスコープの費用
費用の目安(上顎・下顎・本数別)

レジリエンツテレスコープ等のドイツ式入れ歯(テレスコープ義歯)は義歯のみならずそれに関わる虫歯の治療や仮歯等の治療が全て保険外治療となります。
したがって、全ての治療費を合算すると非常に高額になることが通常です。
しかし、当院では、レジリエンツテレスコープ等のドイツ式入れ歯(テレスコープ義歯)は、治療費用も含めてパック料金としてご案内しております。
当院ではドイツ式入れ歯(テレスコープ義歯)を専門にしており、患者さんに明朗な治療費用となるように、歯の本数に問わず、一律の治療費用でご案内することができます。
レジリエンツテレスコープは税込231万円です。
※費用は執筆当時ですので変更されている可能性があります。
お支払いはクレジットカードや現金、銀行振込、デンタルローンも使えます。
また、医療費控除も使うことができます。
【関連記事】テレスコープ義歯(ドイツ式入れ歯)の値段費用を教えてください
精密な治療工程・技工作業による費用の内訳|高額な理由
ドイツ式入れ歯(テレスコープ義歯)が高額になる理由は以下が必要となるからです。
- ドイツ式入れ歯(テレスコープ義歯)に必要な全ての歯の治療費
- 仮歯、仮義歯製作
- 精密な内冠加工、外冠製作
- 高品質な金属材料
- 技工士による手作業の工程
- 設計の高度さ

治療の難度が高く、精度も求められるため、一般的な入れ歯とは全く別の治療ですので、これらの費用自体が高額ですが、パック料金としてご案内しております。
インプラント・保険の入れ歯との費用比較
- インプラント:本数が多いと総額が高くなり生涯にかかる費用の考慮が必要
- 保険の入れ歯:費用は安いが使い心地・義歯の安定性・寿命が劣る
これらに比べて、レジリエンツテレスコープは 長期的な費用対効果が高い治療法 と言えます。
レジリエンツテレスコープの治療の流れ|初診相談~完成までのステップと治療期間
初診相談|適応診断・およその治療計画の提示

まずは患者さんのお悩みをおうかがいします。
そして、お口の状態を確認し、レジリエンツテレスコープや各種ドイツ式入れ歯(テレスコープ義歯)のいずれが向いているかどうか等を判断し、およその治療費用もお伝えします。
もし、治療をご希望の場合は、まずは精密検査のご予約をおとりいただきます。
あらかじめ、当院で治療をご希望の方や、遠方からお越しの方は、その旨をお電話でお伝えいただければ、当日に精密検査まで可能です。
初診料は5500円(税込・保険外診療)で、60分以内で承っています。
精密検査とカウンセリング|治療計画のご説明
レントゲン撮影等の精密検査を行い、患者さんに最善な治療方法をドイツ式入れ歯(テレスコープ義歯)をはじめいくつかの選択肢を私が考えます。

その治療プランのメリット、デメリット、治療費用を説明し、患者さんと一緒に治療方法を決めていきます。
小西先生が思うベストな治療方法でやりたいという患者さんも多いですが、きちんとご説明をして行なっています。
ご説明ご相談の日は、別日にカウンセリングとして60分程度の時間をおとりします(原則、精密検査1日後以降または午前中に精密検査、午後にカウンセリングも可能)。
精密検査と別日カウンセリングで55000円(税込・保険外診療)必要です。
治療開始|土台となる歯の治療と仮歯および仮義歯装着
まずは、ドイツ式入れ歯(テレスコープ義歯)の土台となる歯の治療(虫歯や歯周病等の治療)を行い、内冠を装着するための準備をします。
現在歯がなくてお困りの方や、歯がボロボロ、グラグラの方は、状況を見てすぐに仮歯や仮義歯(テレスコープ義歯の仮の義歯)を用意することも可能です。

治療前

治療前

仮義歯を入れた見た目
ドイツ式入れ歯(テレスコープ義歯)の精密な型取り・試適(試し入れ)
土台となる歯の治療が済んだら、ドイツ式入れ歯(テレスコープ義歯)の型取りを行います。
完成する前に試適という試し入れを行い、見た目や歯の色、噛み合わせの確認を患者さんとともに確認し、問題なければ次回完成となります。
ドイツ式入れ歯(テレスコープ義歯)完成・調整・定期メンテナンス
ドイツ式入れ歯(テレスコープ義歯)装着後は義歯の調整を何回か行い、仕上げていきます。
大半の方は、1か月程度で慣れてきますのでご安心いただければと思います。
【関連記事】ドイツ式入れ歯・テレスコープ義歯の治療の流れ|初診相談から完成まで専門医が解説
レジリエンツテレスコープのよくある質問(FAQ)
レジリエンツテレスコープをはじめとするドイツ式入れ歯(テレスコープ義歯)に関してのご質問は多数いただきます。
ここではごく一部を紹介しますが、テレスコープ義歯(ドイツ式入れ歯)のよくある質問Q&Aまとめ、でまとめていますのでご参考にしていただければと思います。
【関連記事】テレスコープ義歯(ドイツ式入れ歯)のよくある質問Q&Aまとめ
Q:歯がない期間はありますか?
A:治療開始後からは仮義歯を最短1週間程度ですぐに作ることもできるため、治療開始後はすぐに見た目や噛み合わせを改善することができます。
治療してから歯がないままお帰りになっていただくことは原則ありませんのでご安心ください。
Q:何本の歯が残っていれば治療できますか?
A:1本でもあればレジリエンツテレスコープが可能です。
その1本が多少弱くても可能です。
最終的にできるかどうかの判断は歯科医師の判断によります。
当院では、限りなく歯を残そうとするため、まずは一度ご相談いただければと思います。
Q:治療期間・通院回数は?
A:治療期間は最終的にレジリエンツテレスコープが入るまで10か月から1年程度です。
通院頻度は、治療期間の前半は1〜2週間に1度の来院ペース、後半は1か月に1度の来院ペースで、平均およそ20回程度です。
遠方の方や治療を早く終わらせたい方はご相談して治療をすすめていますのでご安心ください。
治療期間中は、仮歯や仮義歯が入っているので、歯がなくて見た目や食事、生活ができないということはありません。
Q:遠方からでも治療できますか?
A:当院には北海道から鹿児島まで全国から来院されています。
また、海外にお住まいの日本人の方も多数来院されています。
頻繁に来れないという方でもご相談して治療を行うことができております。
【関連記事】テレスコープ義歯(ドイツ式入れ歯)のよくある質問Q&Aまとめ
まとめ|レジリエンツテレスコープは“歯を残しながら噛める”治療法
レジリエンツテレスコープは、
- 総入れ歯を避けたい
- 歯をできるだけ残したい
- インプラントが怖い
- 普通の入れ歯では噛めない
という方にとって非常に恩恵ある治療方法です。

歯を活かしながら安定して噛める、長期的にも作り替えが少なく済む、今の歯の悩みが尽きない生活が大きく改善する、といった多くのメリットがあります。
お口の状態はお一人おひとり違いますので、まずは一度ご相談いただければ、
最適な治療方法をご提案できるかと思います。

当院で治療をご検討の方は、治療を行う前に初診ではご相談を行っております。
自分にはドイツ式入れ歯(テレスコープ義歯)が向いているのか、もし治療するとどのような感じになるのか、といった様々な不安な気持ちをご相談いただければと思います。
初回のご相談は、初診料5500円(自由診療)で承っています。
このブログや症例集を通じて、お一人でも、歯で悩んでいる方が少しでも前向きな気持ちになれることを願っています。

執筆者 このは歯科クリニック 院長 小西浩介
【執筆者紹介】全国の歯科医師に総入れ歯・ドイツ式入れ歯(テレスコープ義歯)を教育する院長 小西浩介の経歴紹介
このは歯科クリニック
院長:小西 浩介(ドイツ式入れ歯・テレスコープ義歯・総入れ歯治療専門)
〒113-0001 東京都文京区白山1-33-27 HDCビル1F/2F/B1F






