ノンクラスプデンチャーで後悔しないために

全体の歯がボロボロの方に『総入れ歯』『ドイツ式入れ歯(テレスコープ義歯)』の治療専門の歯科医院、このは歯科クリニック東京の院長、小西浩介です。

クラスプ(針金)は審美性を気にされる方には、見た目がどうしても気になることだと思います。

また、針金の入れ歯では、ひっかけた歯が悪くなりやすく次々に歯を失ってしまうリスク、デメリットもあります。
インプラント治療以外の選択肢で検討していく場合、従来の部分入れ歯では、見た目や歯茎にフィットしないことが心配で、まずはノンクラスプデンチャーを知って様々な情報を集めていると思います。
結論から言うと、ノンクラスプデンチャーの特性、デメリットをきちんと理解しなければ、ノンクラスプデンチャーで後悔する可能性がありますので、十分にこのブログで正しい知識を身につけて今後の治療のご参考にしていただければと思います。

当院は、50代60代の方で歯が欠損している方を専門にしており、インプラントでも従来の入れ歯でもない治療方法の『ドイツ式入れ歯(テレスコープ義歯)』や『総入れ歯』で全国からたくさんの患者さんが来院されていますので、ご安心ください。
【関連記事】ドイツ式入れ歯(テレスコープ義歯)を完全解説!特徴、種類、メリット、費用は?
この記事は、入れ歯、総入れ歯、ドイツ式入れ歯(テレスコープ義歯)の治療を専門としている、学会やコンペティションで数々の受賞歴を持ち、全国の歯科医師に入れ歯、ドイツ式入れ歯(テレスコープ義歯)の内容で、多数の依頼講演と執筆歴がある東京の「このは歯科クリニック」の院長である小西浩介が執筆しております。

【執筆者紹介】全国の歯科医師に総入れ歯・ドイツ式入れ歯(テレスコープ義歯)を教育する院長 小西浩介の経歴紹介
この記事も含め、私が執筆した歯がボロボロ、歯を失った方でお悩みの方への入れ歯、総入れ歯、ドイツ式入れ歯(テレスコープ義歯)治療に関する医療コラムを以下にまとめていますので、いつでも見返せるようにブックマークに登録していただいてから読み進めていただければと思います。
【歯のお悩みブログ】歯がボロボロ、歯を失った方で、部分入れ歯・総入れ歯・ドイツ式入れ歯治療をしたい方に役立つ情報をまとめています
この記事の内容は、
- ノンクラスプデンチャーとは
- ノンクラスプデンチャーのメリット
- ノンクラスプデンチャーのデメリット・耐久性
- ノンクラスプデンチャーで後悔する3つの原因
- ノンクラスプデンチャーで後悔する人はこういう状態
- ノンクラスプデンチャーで後悔しないために
- ノンクラスプデンチャーで実際に後悔した人の体験談、口コミ
- まとめ
ノンクラスプデンチャーとは

従来の針金の入れ歯(左)とノンクラスプデンチャー(右)
ノンクラスプデンチャーとは、保険外治療(自費診療、自由診療)の部分入れ歯の1種類です。
入れ歯を支えるために、自分の残った歯にひっかける金属のバネのようなもの(クラスプ)がなく、歯茎の色に似た樹脂で入れ歯をひっかける部分入れ歯のことを指します。
ノンクラスプデンチャーには、材質により様々な種類が存在します。
ノンクラスプデンチャーの材質の種類には、ポリアミド系、ポリエステル系、ポリカーボネート系、アクリル系、ポリプロピレン系などがあります。
ノンクラスプデンチャーの素材によって、硬さや耐久性、修理のしやすさなど様々ですが、自分の歯にひっかける仕組みはいずれの材質の種類も同じです。
私の個人的な臨床実感としては、患者さんの使用感は、どのノンクラスプデンチャーの種類も大差がないと思います。
ノンクラスプデンチャーのメリット
ノンクラスプデンチャーのメリットは、保険内治療の部分入れ歯で使用される金属のひっかけ(クラスプ)ではないため、保険内治療の部分入れ歯と比較すると審美性、見た目が優れていることです。

ノンクラスプデンチャーのその他のメリットは、インプラント治療と比較すると、外科手術がいらないこと、インプラント治療と比較すると、保険外治療(自費診療、自由診療)でも比較的安価になることが一般的です。
ノンクラスプデンチャーのデメリット・耐久性
ノンクラスプデンチャーのデメリットは、保険内治療の部分入れ歯と似ています。

むしろ、保険内治療の部分入れ歯の針金(クラスプ)が存在するかどうか以外は、ほとんど特徴が似ています。
ノンクラスプデンチャーも保険内治療の部分入れ歯と同じように、自分の歯に入れ歯のひっかけをするので、自分の歯に負荷がかかり、傷んだり、歯が歯周病のようにグラグラして抜けてしまうこともあります。

他院で治療したノンクラスプデンチャーを装着している状態

ノンクラスプデンチャーを外した状態。歯周病になり歯がグラグラしている。
自分の歯にひっかけるため、ノンクラスプデンチャーのその他のデメリットやリスクが存在します。
以下に、ノンクラスプデンチャーのデメリットやリスクをまとめます。
- ひっかけた歯が抜歯に至ると、入れ歯を支える歯がないため、さらに他の歯にひっかけるノンクラスプデンチャーに作り替える必要がある。
- ノンクラスプデンチャーにしても、意外とひっかけた部分が目立ちやすい。
- ノンクラスプデンチャーの材質上、たわむ素材を使用するため、針金の入れ歯より壊れやすい。修理をしても再度壊れやすく、作り替えが必要。
ノンクラスプデンチャーの耐久性はあまりありません。
歯科医院のホームページ等の情報によると、平均2年というところが多々ありますが、入れ歯の耐久性云々の前に、残った歯が早くに傷んでしまうこともあるため、一概には言えないところだと思います。
少なくとも私の歯科医院に、ノンクラスプデンチャーを長く使いたいという患者さんが来られたら、材質上厳しい、歯にひっかけるため、審美性、つまり見た目以外、保険内治療の部分入れ歯と大差はないと正直にお話しすると思います。
【関連記事】テレスコープ義歯(ドイツ式入れ歯)は何年使えますか?テレスコープ義歯の寿命を解説
ノンクラスプデンチャーで後悔する3つの原因
ノンクラスプデンチャーのメリットは、針金がないことですが、デメリットは保険内治療の部分入れ歯とあまり変わりません。
ノンクラスプデンチャーを実際に入れて、ノンクラスプデンチャーで後悔する3つの原因は、
- 保険内治療の部分入れ歯と変わらず、自分の歯にひっかけるため、自分の歯が傷みやすい
- 自分の歯にひっかけているため、食事の時に入れ歯が動きやすい、うまく噛めない
- 耐久性があまりないため壊れやすい、傷みやすい
が考えられます。
したがって、ノンクラスプデンチャーで後悔する原因をあらかじめ知っていれば、はじめからノンクラスプデンチャーをやらなきゃよかったと後悔することも減らせるのではないかと思います。
【関連記事】ドイツ式入れ歯(テレスコープ義歯)を完全解説!特徴、種類、メリット、費用は?
ノンクラスプデンチャーで後悔する人はこういう状態
実際にノンクラスプデンチャーで後悔している方の状態を実際の患者さんをもとに解説します。
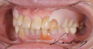
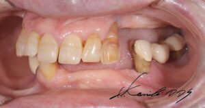
60代女性で、過去に他院でノンクラスプデンチャーを上下に入れた患者さんです。

他院で治療したノンクラスプデンチャーを装着している状態

ノンクラスプデンチャーを外した状態
このように、保険内治療の部分入れ歯の針金(クラスプ)がないから自然と思いきや、材質によって意外と目立ってしまい審美性が良くない症例もよく見かけます。
そして、ノンクラスプデンチャーをひっかけていた何ともなかった自分の歯が、歯周病のように歯がぐらついて歯が抜けてしまった歯もあるとのことで修理の痕も確認できます。
ノンクラスプデンチャーで歯を失ったところを補うはずのものがかえって状態がどんどん悪くなることは、実は少なくありません。
このような方には、本来ノンクラスプデンチャーをする前に、ドイツ式入れ歯(テレスコープ義歯)がおすすめで、この方ももう一度、ノンクラスプデンチャーを作り替えるのではなく、ドイツ式入れ歯(テレスコープ義歯)を希望され治療をし、今では問題なく生活をできるようになっています。
【関連記事】ドイツ式入れ歯(テレスコープ義歯)を完全解説!特徴、種類、メリット、費用は?
当院には入れ歯治療で様々な患者さんが全国から来院されています。
症例集で、当院で受けれる治療や治療費用値段を状態別で掲載していますので、ご自身が治療したらどうなれるのかという視点で是非一度ご覧いただければと思います。
【症例集】歯がボロボロでも総入れ歯・ドイツ式入れ歯(テレスコープ義歯)で綺麗になれるBefore、After!治療方法と費用を掲載
ノンクラスプデンチャーで後悔しないために
ノンクラスプデンチャーをして後悔する前に、そもそもノンクラスプデンチャーは保険内治療の部分入れ歯とは大差ないことを十分に理解していただくことをおすすめします。
しかし、インプラントをしたくない、できない方にとっては、では、入れ歯でどうしたらいいのかとお悩みになってしまうと思いますが、心配ありません。
そのような方には、ノンクラスプデンチャーや、従来の部分入れ歯とは仕組みが全く異なるドイツ式入れ歯(テレスコープ義歯)がおすすめです。
【関連記事】ドイツ式入れ歯(テレスコープ義歯)を完全解説!特徴、種類、メリット、費用は?
【書籍紹介】ドイツ式入れ歯(テレスコープ義歯)がよくわかるおすすめ書籍
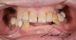
例えば、50代の女性で保険内治療の部分入れ歯をしていて歯がどんどん悪くなってしまった患者さんです。

治療前

治療前

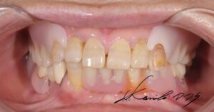
治療後:ドイツ式入れ歯で治療した状態

治療後:ドイツ式入れ歯で治療した見た目
このような方に、自分の歯を残して歯にひっかけをせず、義歯に歯を取り込むドイツ式入れ歯(テレスコープ義歯)という治療方法です。
【関連記事】ドイツ式入れ歯(テレスコープ義歯)を完全解説!特徴、種類、メリット、費用は?
また、残っている歯が傷んでいる場合で、歯を失ったところのみをノンクラスプデンチャー等で歯を補ったとしても、後々困ってしまいます。
歯を失ったところのみではなく、全体の歯も治療しておいたり、過去に治療をして被せ物を入れた歯も先に義歯に取り込むことによって、また歯で困ってしまうことを未然に防ぐことが可能です。
このドイツ式入れ歯(テレスコープ義歯)はノンクラスプデンチャーのように、自分の歯が抜けてしまったら作り替えということはなく、簡単な修理で済むことができるのが大きなメリットです。
ノンクラスプデンチャーで実際に後悔した人の体験談、口コミ
実際に、ノンクラスプデンチャーで実際に後悔した人で当院で治療した方の体験談や口コミは第三者機関にアンケート調査を実施しているので、参考にされてみてください。
入れ歯のお悩みは家族や友人であっても、誰かに言いづらいという方も少なくありません。
同じようなお悩みを抱えている人は当院には多くいらっしゃるので、実際に治療した方の治療前と治療後の状態写真や治療費用を、様々な状態別で数多く掲載していますので、当院の症例集もご参考にされてみてください。
【症例集】歯がボロボロでも総入れ歯・ドイツ式入れ歯(テレスコープ義歯)で綺麗になれるBefore、After!治療方法と費用を掲載
まとめ
ノンクラスプデンチャーは、前歯のみ、または奥歯のみ歯を失ったから、針金の入れ歯は嫌だから、インプラント治療は嫌だからという理由で選ぶ方も少なくないと思います。

しかし、ノンクラスプデンチャーで後悔する人も多く、ノンクラスプデンチャーをする前に、他の入れ歯、特に当院が専門にしている、自分の歯を残して歯にひっかけをせず、義歯に歯を取り込むドイツ式入れ歯(テレスコープ義歯)という治療方法を先に知りたかったという人もたくさんいます。
【関連記事】全体の歯がグラグラする原因と最適な治療方法を解説
まずノンクラスプデンチャーをしてみよう、の前にご自身に合う入れ歯を十分に探した上で熟考することをおすすめします。
【関連記事】ドイツ式入れ歯(テレスコープ義歯)を完全解説!特徴、種類、メリット、費用は?
現にノンクラスプデンチャーで後悔している方も心配されず、まずは私が執筆しているブログで今後より良い歯科治療を受けれるように知識をつけてもらえればと思います。
歯がボロボロやグラグラでお困りの方は、一人で悩みを抱え込まずご相談していただければと思います。

ご相談も治療をする際も全て完全個室型の診察室ですのでご安心ください。
当院は、すぐに治療を行わず、まずはご相談を行なっております。
初めての方は、初診料5500円(税込・保険外診療)でご相談を行なっておりますので、お気軽にご相談ください。
歯がボロボロでお困りの方に役立つ、私が執筆した医療コラムをこちらに掲載していますので、当院で治療でなくてもご活用いただければと思います。
【歯のお悩みブログ】歯がボロボロで総入れ歯・ドイツ式入れ歯治療をしたい方に役立つ情報をまとめています
皆様のお口の状態や、気持ちが少しでも良くなるよう願っています。

執筆者 このは歯科クリニック 院長 小西浩介
【執筆者紹介】全国の歯科医師に総入れ歯・ドイツ式入れ歯(テレスコープ義歯)を教育する院長 小西浩介の経歴紹介







