インプラントが怖い方へ|歯をなるべく残して“手術なしで噛める”方法

多くの歯を失ったり、全体の歯がボロボロの方への入れ歯治療専門の歯科医院、このは歯科クリニック東京の院長、小西浩介です。

インプラントが怖い…その不安はとても自然なことです。
外科手術が怖い、インプラントをやりたくない、将来が不安、と実際、当院にも同じような不安を抱えて相談に来られる方が全国から数多くいらっしゃいます。
インプラントが怖いけど、歯医者さんに大丈夫だよと言われた、という人も少なくありません。
しかし、患者さんからすればそういう問題ではなく、できればインプラントはやりたくない、かといって入れ歯もイヤとお悩みでお困りなのではないでしょうか。
私は、インプラントが怖い、インプラントはやりたくない、という方には説得も無理強いも行わず、通常の入れ歯ではない、ドイツ式入れ歯(テレスコープ義歯)という選択肢をお伝えしています。

このブログでは、多くの歯を失ったり、全体の歯がボロボロの方への入れ歯治療専門としている専門家の立場から、皆様に正しい知識を身につけていただいて今後の治療のご参考にしていただければと思います。
この記事は、多くの歯を失ったり、全体の歯がボロボロの方の治療を専門としている、学会やコンペティションで数々の受賞歴を持ち、全国の歯科医師に多数の依頼講演と執筆歴がある東京の「このは歯科クリニック」の院長である小西浩介が執筆しております。

【執筆者紹介】全国の歯科医師に総入れ歯・ドイツ式入れ歯(テレスコープ義歯)を教育する院長 小西浩介の経歴紹介
この記事も含め、私が執筆した歯がボロボロ、歯を失った方でお悩みの方へのインプラント、入れ歯治療に関する医療コラムを以下にまとめていますので、いつでも見返せるようにブックマークに登録していただいてから読み進めていただければと思います。

この記事の内容は、
- インプラントが怖いと感じる理由【7つの不安要素】
- 怖さを和らげるためにできる2つのこと
- 「歯をなるべく残す」治療とは?
- ドイツ式入れ歯(テレスコープ義歯)とは?
- ドイツ式入れ歯と他の治療法の比較
- 実際の症例紹介|70代女性・手術に抵抗があった方のケース
- どんな方におすすめか
- 治療後のメンテナンスと寿命
- まとめ|インプラントが怖い方は無理せずドイツ式入れ歯(テレスコープ義歯)
インプラントが怖いと感じる理由【7つの不安要素】
インプラントとが怖いと感じる理由はいくつか考えられますが、よくある理由を7つを挙げて解説していきます。
外科手術への恐怖や不安
外科手術への不安は、インプラント治療に対する主な恐れの1つです。

インプラント治療は、あごの骨に金属製の人工歯根を埋め込み、人工歯根の上に被せ物を装着する歯を失った方への歯を補う治療方法です。
あごの骨に金属を埋め込むという説明を受けると、「骨を削る」「ネジを埋める」といった言葉に強い抵抗を感じる方も少なくありません。
外科手術のため、麻酔後に歯茎を切開したり、骨を削ることから痛みや腫れ、それに伴ったリスクはやむを得ません。
体調や健康状態、年齢への不安
高血圧、糖尿病、骨粗鬆症などの持病がある方や、健康状態がすぐれない方、高齢の方には、インプラントの外科手術に対しての不安があると思います。
このような場合、インプラントをして持病が悪化することや、持病でインプラントに悪影響を及ぼしたくないと思うのは自然なことです。
治療費用の不安
インプラントは1本あたりおよそ35~50万円前後ほど治療費用でかかります。
複数本になると数百万円となることも珍しくありません。

何より、先を見据えると将来また歯を失ったり、入れたインプラントが脱落し再治療となる可能性を考えると悩ましい方も少なくありません。
術後の痛みや腫れへの不安
手術後に痛みや腫れ、出血、感染のリスクがあると聞くと、「できるだけ体に負担のない治療がいい」と感じるのも当然です。
手術後の麻酔が切れてからの痛みや腫れ、出血は一時的なものが多いですが、今後も歯を失うたびにインプラントの手術かという不安や怖さはなかなか払拭しきれないところもあります。
インプラントを入れた将来への不安
「10年後、20年後も大丈夫?」「メンテナンスは?」将来のことを考えるほど、慎重になって当然です。
このような不安は払拭しにきれないため、先を見据えた治療が向いている場合もあります。
【関連記事】インプラントの寿命を解説|どれくらいもつのか、寿命がきたらどうなるのか?
ネットやSNS上のネガティブな情報
昨今、インプラント治療が普及してきたため、「インプラントは絶対ダメ」といったような体験談や注意喚起も目にすることも増えてきました。
しかし、どのような治療にもメリット、デメリット、リスクは存在するため、ネット上の情報だけで判断せず、専門家の意見をもとに、かつご自身の状態と照らし合わせて検討する余地はあるかもしれません。
治療の失敗・トラブルへの不安
インプラントは必ず骨にくっつくものとは限りません。
骨に定着するまで数ヶ月の時間がかかり、その間、感染や不十分な口腔ケアが原因で骨に定着しない可能性もあります。
何もなくても定着しない可能性もあることもあります。
また、インプラントが骨に定着してもインプラント歯周炎という歯周病のような状態にもなり得ます。



ですので、インプラントは入れたら終わりというものではないという認識が重要です。
【関連記事】インプラントは絶対ダメ?後悔する前に知るべき“真実”と安全な代替法
怖さを和らげるためにできる2つのこと
信頼できる歯科医師と十分なカウンセリングを行う
インプラントが怖い方の中には、インプラントは怖いというイメージが先行している方もいらっしゃいます。
そのような方で、まず大切なのは、「納得できる説明を受けること」です。
不安なまま進めるのではなく、治療の流れ・リスク・費用・通院回数などを具体的に聞くことで、「何をされるのか」が明確になり、安心感が生まれます。
実態を知ることによって、インプラントの怖さが和らげばと思いますが、良いことばかり聞くのではなく、
患者さん個々に違うインプラントのリスクがどれくらいあるのかということを聞いてみることはとても重要です。

当院では、個々に違うインプラントのリスク(骨が不足している、骨の質が不良等)を十分に説明しています。
これにより、後で生じるかもしれないインプラントの怖さを先に知っておくということで、インプラントにしなきゃよかったとなることをできる限り防いで差し上げたいと考えています。
特に骨造成と呼ばれる骨の高さや厚みが足りない方に行うインプラント治療の一貫の外科手術は十分にそのリスクを理解する必要があります。
インプラント以外の治療法を知る・比較する
インプラントの実態や個々のインプラントのリスクをご理解されていて、インプラントが怖いという方には、インプラントはおすすめしていません。
そのような方には、インプラント以外の選択肢を提示しています。
「歯をなるべく残す」治療とは?
歯を失ったとき、失うときに考える治療は「ブリッジ」か「入れ歯」、または「インプラント」です。
しかし、ブリッジは歯を失った部分の負担を他の歯に求めるため、大型のブリッジでは、また歯を失ってしまうリスクも懸念されます。


とはいえ、入れ歯は外れやすく、残った歯を痛めてしまう、噛みにくい、見た目に難があるというデメリットもよく言われることです。
実は、残っている歯を最大限に活かし、抜かずに支えながら機能を回復させる、インプラントではない治療方法もあります。

その代表が、「ドイツ式入れ歯(テレスコープ義歯)」です。
【関連記事】ドイツ式入れ歯(テレスコープ義歯)を完全解説!特徴、種類、メリット、費用は?
【書籍紹介】ドイツ式入れ歯(テレスコープ義歯)がよくわかるおすすめ書籍
ドイツ式入れ歯(テレスコープ義歯)とは?
ドイツ式入れ歯(テレスコープ義歯)とは、ドイツで100年以上の歴史を持つ精密義歯で、被せ物と入れ歯の中間的な治療方法です。
構造の特徴(内冠・外冠の二重構造)
ドイツ式入れ歯(テレスコープ義歯)の構造は、残っている歯に金属の“内冠”をかぶせ、その上に取り外しができる“外冠”を作って精密に重ね合わせる二重構造の義歯です。


はめ込むと、まるで茶筒の仕組みや、吸盤のように密着し、強く噛んでも外れにくく、違和感が少なく、従来の入れ歯のような針金は使わないため見た目も自然、というのが特徴です。
【関連記事】ドイツ式入れ歯(テレスコープ義歯)を完全解説!特徴、種類、メリット、費用は?
支える歯と歯ぐきの力を“分散”する仕組み

一般的な入れ歯は支えている歯に力が集中しますが、ドイツ式入れ歯(テレスコープ義歯)は歯と歯ぐきの全体で噛む力を受け止めるため、残った歯への負担を大幅に減らせます。
【関連記事】ドイツ式入れ歯(テレスコープ義歯)を完全解説!特徴、種類、メリット、費用は?
金属バネが見えない自然な見た目

従来の入れ歯で使用される金属のバネ(クラスプ)が存在しないため、会話中や笑ったときも自然で安心できます。
審美性を保ちながら、機能性を両立できる義歯の1つです。
【関連記事】ドイツ式入れ歯(テレスコープ義歯)を完全解説!特徴、種類、メリット、費用は?
ドイツ式入れ歯(テレスコープ義歯)はどこで治療を受けられる?
実は、私はこのドイツ式入れ歯(テレスコープ義歯)で学会やコンペティションで数々の受賞歴があり、最年少受賞記録をいくつも塗り替えています。

現在では、全国でドイツ式入れ歯(テレスコープ義歯)の依頼講演や依頼執筆を数多く行なっています。


インプラントが怖い方で、従来の入れ歯ではない方法を探し、このドイツ式入れ歯(テレスコープ義歯)を知り、様々な歯科医院から当院を見つけましたという方が、全国から当院にたくさん来院されています。
ドイツ式入れ歯(テレスコープ義歯)であれば、どこの歯医者でも良いというわけでは決してありません。
ドイツ式入れ歯(テレスコープ義歯)は、インプラントと同等またはそれ以上に、歯科医師の技術や知見によって非常に大きな差が出ますので、十分にドイツ式入れ歯(テレスコープ義歯)の情報を得て、精査してから治療を行うことを強くおすすめします。

ドイツ式入れ歯と他の治療法の比較
| 項目 | 従来の入れ歯 | インプラント | ドイツ式入れ歯(テレスコープ義歯) |
|---|---|---|---|
| 外科手術 | 不要 | 必要 | 不要 |
| 支える仕組み | バネで支える | 人工歯根で支える | 歯と歯茎で支える |
| 安定性 | 動きやすく外れやすい | 非常に高い | 高い |
| 見た目 | 金属のバネが見える | 自然 | 自然 |
| 歯や骨への負担 | 歯に負担がかかる | 骨で負担 | 歯と歯茎で負担 |
| 費用 | 比較的安価(保険可) | 高額(保険外) | 高額(保険外) |
| メンテナンス | 頻繁な調整が必要 | 専門的ケアが必要 | 取り外し清掃で管理しやすい |
実際の症例紹介|60代女性・インプラントが怖い、インプラントをやりたくない方のケース
60代女性で過去にインプラント治療をたくさん受けるもインプラントが悪くなり、今では入れ歯を使っているという患者さんです。


もうインプラントは怖いしやりたくない、しかし通常の入れ歯も合わない、他の歯もどんどん悪くなってきているからきちんと治したいとお話しをされていました。
私からはインプラントではなく、ドイツ式入れ歯(テレスコープ義歯)という選択肢があり、インプラントのような外科手術もなく、自分の歯も治してから守ることができるというお話しをしました。
もともと患者さんがドイツ式入れ歯(テレスコープ義歯)の治療を見つけ、その上で当院に行き着いたとこの患者さんも遠方からお越しいただきました。
上下、自分の歯を最大限に残して上下ともにドイツ式入れ歯(テレスコープ義歯)で治療をし、非常に喜んでいただきました。


このように、インプラントが怖い、やりたくない方は、当院に多数来院されています。
ですので、ご安心してご相談いただければと思います。
【症例集】歯がボロボロでもインプラントではないドイツ式入れ歯(テレスコープ義歯)で綺麗になれるBefore、After!治療方法と費用を掲載
どんな方におすすめか
ドイツ式入れ歯(テレスコープ義歯)はインプラントが怖い方や、インプラントをやりたくない方におすすめです。
- インプラント手術に不安がある方
- 持病や年齢などで手術を避けたい方
- 歯をできるだけ抜きたくない方、残したい方
- ブリッジや一般的な入れ歯が合わなかった方、それ以外で治療をしたい方
- 自然な見た目と快適さを両立したい方
- 全体的に歯がボロボロの方や、歯の欠損が多い方、被せ物や治療を受けた歯が多い方
このように、全体の歯がボロボロやグラグラの状態や、過去に治療した歯が多い方には、ドイツ式入れ歯(テレスコープ義歯)が向いています。

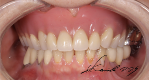
治療前

治療前の見た目

ドイツ式入れ歯(テレスコープ義歯)で治療した見た目
しかし、歯を1本程度のみで他の歯も過去に治療したことがないような方には、ドイツ式入れ歯(テレスコープ義歯)を行うメリットは非常に少なく、ドイツ式入れ歯(テレスコープ義歯)をおすすめしておりません。
治療後のメンテナンスと寿命
テレスコープ義歯は構造上、義歯が安定しやすいため、保険適用の入れ歯のような壊れにくさはありません。
また、保険適用の入れ歯のような、残っている歯への負担も大幅に軽減できます。実際にドイツをはじめとするヨーロッパでも、長く使用できるケースは多いというデータ、エビデンスは数多く報告されています。
インプラントとは異なり、ご自身でメンテナンスがしやすい状態ですので、インプラントにして将来が不安というようなことはありませんので、ご安心いただいております。
【関連記事】テレスコープ義歯(ドイツ式入れ歯)は何年使えますか?テレスコープ義歯の寿命を解説
まとめ|インプラントが怖い方は無理せずドイツ式入れ歯(テレスコープ義歯)
インプラントが怖い、外科手術に抵抗がありなるべく避けたい場合、無理をする必要はありません。
当院では、そのような患者さんに、インプラントは大丈夫ですよと簡単にお伝えし、インプラントをするよう説得することもありません。
医学的なベストがあったとしても、それと同じように患者さんの気持ちを汲み取り、その上で何が最善かというように、気持ちに寄り添えるよう私のみならず当院のスタッフたちも考えています。
インプラントでもない、一般的な入れ歯でもない方法として、ドイツ式入れ歯(テレスコープ義歯)という選択肢もあります。
できれば歯を抜きたくない、残った歯を守りたい、歯を治療して普通の生活を送れるようになりたいというのは当然の気持ちで、ドイツ式入れ歯(テレスコープ義歯)には、それを実現できる可能性が十分にあります。
ドイツ式入れ歯(テレスコープ義歯)をよく知っていただき、治療の前にご相談を行なっておりますので、ご安心してご相談にお越しいただければと思います。

まずは、このブログ以外にも私が執筆した入れ歯や歯がボロボロの方、これから入れ歯やインプラントにしようとお悩みの方にお役に立てるような情報をブログに書いていますので、ご参考にされていただければと思います。

当院には「インプラントが怖い、インプラントはやりたくない」というお悩みを持つ患者さんが、ドイツ式入れ歯(テレスコープ義歯)で治療を希望される患者さんは非常に多くいらっしゃいます。
実際にインプラントが怖いというお悩みの方が、当院にてドイツ式入れ歯(テレスコープ義歯)で治療を行なった方の体験談、口コミが掲載されていますので、ご参考にされていただければと思います。
当院ではすぐに治療を行わず、まずはご相談を行なっております。
初めての方は、初診料5500円(税込・保険外診療)でご相談を行なっておりますので、お気軽にご相談ください。
このは歯科クリニック
院長:小西 浩介(ドイツ式入れ歯・テレスコープ義歯・総入れ歯治療専門)
〒113-0001 東京都文京区白山1-33-27 HDCビル1F/2F/B1F

執筆者 このは歯科クリニック 院長 小西浩介






