最終更新日:2026年2月14日
こんにちは、歯がボロボロの方の治療専門の歯科医院、このは歯科クリニック東京の院長の小西浩介です。
今回はよくあるご相談の1つであります『ブリッジがとれそう、歯がなくなった後の治療方法を教えてください』というお悩みについてお答えします。

多くの場合、もう一度ブリッジをしたいものの、他の歯を使用してブリッジが困難な状態の患者さんは少なくありません。
その場合、きちんとした治療を希望される方がほとんどですが、だからと言って、入れ歯やインプラントをするのにも抵抗感があるのもよくわかります。
今回はそのような症例の場合、どのような治療方法があるのかをお伝えいたします。
このブログは、ドイツ式入れ歯(テレスコープ義歯)治療を専門としている、学会やコンペティションにてドイツ式入れ歯(テレスコープ義歯)で数々の受賞歴を持ち、全国の歯科医師に多数の依頼講演と執筆歴がある「このは歯科クリニック東京」の院長である小西浩介が執筆しております。

【執筆者紹介】全国の歯科医師に総入れ歯・ドイツ式入れ歯(テレスコープ義歯)を教育する院長 小西浩介の経歴紹介
このブログも含め、私が執筆した歯がボロボロ、歯を失った方でお悩みの方へのドイツ式入れ歯治療に関する医療コラムを以下にまとめていますので、いつでも見返せるようにブックマークに登録していただいてから読み進めていただければと思います。
この記事の内容は、
- ブリッジがとれそう、今後の治療方法とは
- インプラント治療の場合
- 一般的な部分入れ歯治療の場合
- ドイツ式入れ歯(テレスコープ義歯)治療という選択肢
- ブリッジがとれそうなときの当院の治療の説明方法
- 歯科医師向け
ブリッジがとれそう、今後の治療方法とは
ブリッジがとれそうな場合、患者さんにとって深刻な状況が多く、すぐにでも治療をしたいという方が多くいらっしゃいます。

ただ、このような場合、次の治療方法は十分に考えて治療を受けられることをおすすめしております。
ブリッジがダメになってしまった場合、多くはその支えの歯が虫歯や歯周病、あるいは歯が破折している可能性があります。

そして、その歯を抜歯、あるいは使用できてもかなり状態が弱いことは少なくありません。
そのため、これを機に全体を治療していくという考え方が、患者さんにとって重要な選択となります。
同じようにブリッジができる場合でも、また同じことの繰り返しでは、費用面、精神面からしても苦痛となりえます。
そこで、今後ブリッジにせずに、歯を失ったところにインプラント治療か入れ歯(義歯)治療かという選択がでてきます。
この場合、単にインプラント治療あるいは、入れ歯(義歯)治療が嫌だという要素のみの選択では、残念ながらその先困ってしまう状況になりかねないこともあります。
今回はその際に、より良い選択ができるようにインプラント治療か入れ歯(義歯)治療かという選択のポイントをお伝えできればと思います。

インプラント治療も入れ歯(義歯)治療も専門に行っているクリニックは多数あります。
しかし、この場合、どちらかに偏った治療方法の提案になりかねないことが考えられます。
どちらの治療も一概に優劣をつけれるものではなく、症例によってメリットデメリットが異なります。
加えて、患者さんの将来的なことや、価値観によって、類似症例でも最適な治療方法が異なるはずです。
私はインプラント治療、入れ歯(義歯)治療も専門的に行っております。
そのため、出来る限り患者さんのことを一緒に考えて、患者さんがより良い選択、そしてより良い治療ができるようお手伝いしているつもりです。
インプラント治療の場合

インプラント治療の最大のメリットは固定式であることです。
固定効果が一般的な義歯、入れ歯と比べて強いため、インプラントの上に歯を装着後は、自分のようによく噛めるとおっしゃっていただく場合が多いです。
デメリットは外科手術が伴うことです。
そしてリスクとしては、インプラントは一生持つとは限らないことです。
インプラントに力が加わりすぎたり、お手入れを怠ると、歯周病のような状態(インプラント周囲炎)になる可能性があります。
ですから、インプラント治療をしたら全くその先心配がいらないというわけではありません。
【関連記事】インプラントが怖い方へ|歯をなるべく残して“手術なしで噛める”方法
また、これがとても重要なのですが、他の歯も今後失ったときはインプラント治療を考えることになるということです。
追加でインプラント治療費がかかることや、肉体的精神的な負担が将来にのしかかる可能性は十分に考慮しなければなりません。
では実際の患者さんの治療例で、この患者さんは義歯ではなく、インプラント治療を選択された方を紹介します。
2本の歯を支えにしていたブリッジですが、支えていた奥歯の歯が割れてしまい、奥歯を抜かざるを得ない状況でした。


もし、従来の部分入れ歯で治療する場合、この奥歯のみでは支えることが難しく、その他の歯が健康な歯であったため、歯を失ったところのみのインプラント治療を行いました。


このように他の歯が特に問題がなければ、このインプラント治療の方が有用性が高い場合があります。
一般的な部分入れ歯治療の場合
メリットは外科手術がないことです。

最大のデメリットは、一般的な部分入れ歯の場合、支える歯を痛めやすいことです。
また、残っている歯を支えにしている場合、その歯がダメになってしまうと、また作り替えになってしまう可能性もでてきます。

そのため、当院では、入れ歯治療で考えていく場合は、このような一般的な部分入れ歯ではなく、入れ歯治療の1つであるドイツ式入れ歯(テレスコープ義歯)治療をおすすめしております。

【関連記事】ドイツ式入れ歯で治療した方の症例集まとめ|お悩み別実例解説
ドイツ式入れ歯(テレスコープ義歯)治療という選択肢
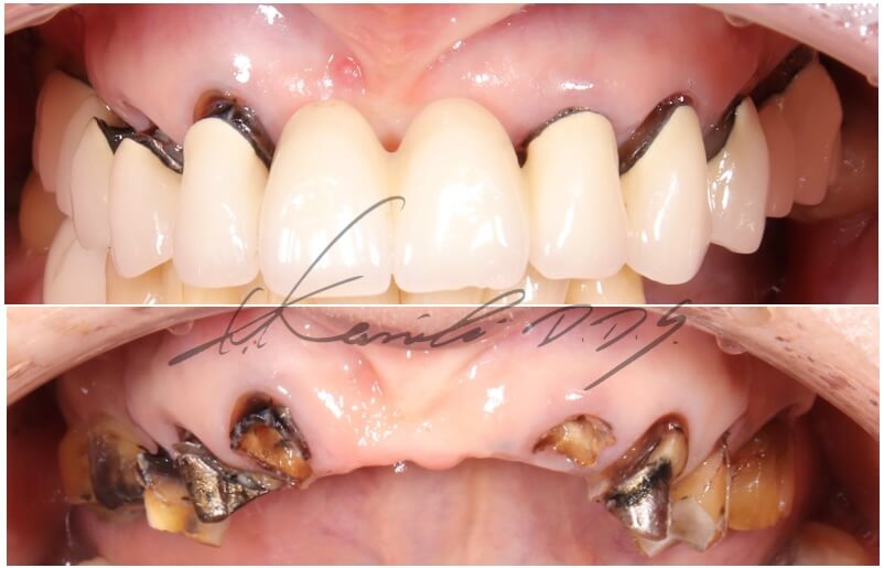
実際の患者さんの治療例です。
『奥歯のブリッジがとれそう、今後インプラント治療か部分入れ歯治療かで相談したい』というお悩みでした。


以前他院で入れた全体的なセラミックのブリッジが入っていました。
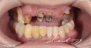
そのブリッジを支えている奥歯が虫歯と歯周病で悪くなってしまい、今にもブリッジがとれてしまいそうな状況で患者さんはお困りでした。

奥歯、前歯のブリッジをすべて外した状態ですが、奥歯は虫歯と歯周病で抜歯をした状態です。
そこで、インプラント治療であれば少なくとも両奥歯で4本のインプラントを埋入して、インプラントを利用したブリッジという提案をしました。
しかし、奥歯はインプラントを支える骨が少ないため、将来的にトラブルを抱えるリスクをお伝えしました。
また、前歯も歯周病に罹患していること、すべての歯が神経がない(失活歯と言います)歯でした。
そのため、今後同じように前歯もインプラント治療にしなければならない可能性も正直にお伝えしました。
ここでその可能性をお伝えしておかないと、患者さんは将来的にインプラント治療を再度受ける可能性があることはなかなか気づけないからです。
そして、様々な治療方法のお話しをした中で、今回はドイツ式入れ歯(テレスコープ義歯)治療の1つの種類であるレジリエンツテレスコープを選択しました。


このように支えの歯にキャップ(内冠)を装着してその上から全体的に覆いかぶせる方法です。
【関連記事】レジリエンツテレスコープとは|メリット・寿命・費用・症例を専門医が解説
このキャップには噛んでも力が直接いかないように設計しておりますので、弱い歯でも使用することができます。
これにより、今後この残りの歯が最終的に抜歯せざるをえなくなったとしても、内側の内冠を受ける部分を修理すれば永く使用できます。
【関連記事】入れ歯かインプラントか?わかりやすい選ぶポイント

このようにすべて覆いかぶせると総義歯のように見えますが、感覚としては取り外しができる覆いかぶせるブリッジとしていつも患者さんに説明しています。
当院で行う保険外義歯治療の場合、ほとんどが就寝時も装着していただくため、精神的にも救われる患者さんが多いという臨床実感です。
【関連記事】テレスコープ義歯(ドイツ式入れ歯)とは?特徴、種類、メリット、費用まで全てを解説


見た目としても通常の部分入れ歯のような針金(クラスプ)を使用しないため、見た目も自然です。
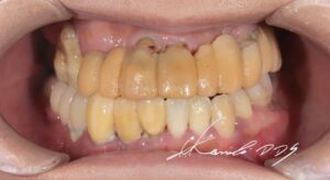
当院では治療中の見た目も重要視してますので、歯がない期間は作らないようにしています。
この患者さんもブリッジをすべて外したその日に仮歯(仮の義歯)を装着しています。
【関連記事】ブリッジの土台の歯が虫歯になったら?知っておくべき治療方法

【関連記事】ドイツ式入れ歯で治療した方の症例集まとめ|お悩み別実例解説
また、テレスコープ義歯であっても義歯ということから、治療前は義歯に対する抵抗感を少なからずお持ちです。
しかし、見た目には最大の配慮をして、きれいに見えるよう、義歯とわからないように心がけて治療をしています。
【関連記事】入れ歯かインプラントか?わかりやすい選ぶポイント
とは言うものの、患者さんとしては不安なことが多いため、スタッフ全員でサポートするようにしています。
ちなみに、この患者さんは治療したのが2016年で治療終了後早10年(2026年現在)経とうとしていますが、ずっとメンテナンスで半年に1度当院に通ってくださっています。
現在も生活に問題ない状態を保てており、あの時インプラントや普通の入れ歯にせずに、ドイツ式入れ歯(テレスコープ義歯)で治療をお願いしてよかったとメンテナンスの際に毎回お話をいただきます。
【関連記事】テレスコープ義歯(ドイツ式入れ歯)とは?特徴、種類、メリット、費用まで全てを解説
ブリッジがとれそうなときの当院の治療の説明方法
今回は、『ブリッジがとれそう、歯がなくなった後の治療方法を教えてください』というお悩みについて回答しました。
インプラント治療をはじめ、ドイツ式入れ歯(テレスコープ義歯)や他にも様々な方法が存在します。
どれが良いかを患者さんで一からご自身で選ぶのはかなり難しく、ときにデメリットやリスクにまで目がいかない場合があります。
最適な治療方法を選択するポイントは、また同じように困らないこと、保険外診療の場合コストパフォーマンスも考慮することが重要なポイントです。
【関連記事】50代60代歯がボロボロのときの治療方法、費用を解説
当院にご相談にお越しいただいた患者さんには、私自らご相談させていただき、写真や絵を手書きで書いて、患者さんにできるかぎりわかりやすく、ご自宅でゆっくり考えれるように、いくつもの治療方法を提案させていただいております。

少しでも患者さんにとって良い選択ができるようにお手伝いできれば幸いです。

【症例集】歯がボロボロでもきれいに治ります。治療方法、費用を状態別で実例を写真付きで解説
当院で治療をご検討の方は、治療を行う前に初診でご相談を行っております。
初回のご相談は、初診料5500円(自由診療)で承っています。
このブログや症例集を通じて、お一人でも、歯で悩んでいる方が少しでも前向きな気持ちになれることを願っています。

執筆者 このは歯科クリニック 院長 小西浩介
【執筆者紹介】全国の歯科医師に総入れ歯・ドイツ式入れ歯(テレスコープ義歯)を教育する院長 小西浩介の経歴紹介
このは歯科クリニック
院長:小西 浩介(ドイツ式入れ歯・テレスコープ義歯・総入れ歯治療専門)
〒113-0001 東京都文京区白山1-33-27 HDCビル1F/2F/B1F
歯科医師向け
多数歯欠損の場合、インプラント治療の場合、複数のインプラントとなり患者さんの負担が大きくなります。
加えて、欠損を完全に食い止めることも難しいことも周知の通りです。いかに先を読んだ欠損補綴治療を選択するかがポイントと考えています。
特に義歯治療の場合は単に欠損を埋める方法ではなく、今後の欠損にも対応できるように、またその欠損の進行をいかに緩やかにさせるかが重要です。
特に上顎は『上減の歯列』という思考が有効と考えています(※参考文献1)。インプラント治療の他にもテレスコープ義歯という選択肢を持つことで、臨床の幅が大きく広がります。

ただし、上述したテレスコープのような症例では、コーヌステレスコープは適応させない方が得策です。失活歯しかない場合、予知性が高くないことは明白です。
日本ではテレスコープではコーヌステレスコープが主流をなしていますが、多種多様のテレスコープ義歯を使い分けるということ、そして補綴設計はセンスが重要と考えています。このあたりは※参考文献2に記載していますのでご参考になれば幸いです。
(参考文献1)宮地 建夫 :欠損歯列の評価とリスク予測 ―上下顎歯数のアンバランスとそのリスク― 日補綴会誌 AnnJpnProsthodontSoc5:21-27,2013
(参考文献2)小西 浩介:テレスコープデンチャーを臨床に活かすポイント ~症例で使い分けたい各種システム~デンタルダイヤモンド12月号, p158-165, 2019

【症例集】歯がボロボロでもドイツ式入れ歯(テレスコープ義歯)で歯の悩みがなくなるBefore、After!治療方法と費用を掲載




