最終更新日:2026年3月11日
50代60代になると歯のトラブルが増えてきます。
50代60代で全体の歯がボロボロになってしまい、食事が取れづらくなったり、見た目に支障が出てくる方も少なくありません。
50代60代になると将来的な心配も尽きないことから不安な方もいらっしゃると思います。
しかし、適切でかつ良質な治療を受けることで歯を気にしなくなる生活を送ることができます。
今回は50代60代の歯がボロボロの時の治療方法を、治療方法や費用も含めて、いくつかの実例で解説していきます。
この記事の執筆は、歯がボロボロの方の治療を専門としている、学会やコンペティションで数々の受賞歴を持ち、全国の歯科医師に入れ歯、義歯の内容で、多数の依頼講演と執筆を行う東京の「このは歯科クリニック」の院長である小西浩介が行っておりますのでご参考にされてください。

【執筆者紹介】歯がボロボロの治療で数々の受賞歴を持つ院長 小西浩介の経歴紹介
この記事も含め、私が執筆した歯がボロボロでお困りの方のお悩みを解決する医療ブログ・コラムを以下にまとめていますので、いつでも見返せるようにブックマークに登録していただいてから読み進めていただければと思います。
【歯のお悩み解決ブログ】知ると歯の悩みが減っていく!歯がボロボロの方に役立つ情報をまとめています
この記事の内容は、
- 50代60代の歯を失っている平均本数
- 50代60代のブリッジや入れ歯の割合
- 50代60代で歯がボロボロの方の治療を受けるポイント
- 歯がボロボロの方の治療費用、値段、料金表
- 50代60代で歯がボロボロの方におすすめの治療方法
- 50代60代の歯がボロボロの専門歯科医院の見つけ方
50代60代の歯を失っている平均本数
50代60代になると、加齢による歯の衰えや、歯周病、虫歯などが原因で歯のトラブルが起こりやすくなります。
また、過去に治療した歯が再度悪くなることも増えてきます。
実際、厚生労働省の調査によると、
50代では、多くの方が統計的に歯をおよそ1〜4本失っています。
そして60代になると、およそ4〜8本の歯を失います。
75歳以上では、約13本もの歯を失い、本来28本ある歯の半分ほどがなくなってしまうことになります。

一人あたりの歯の数の平均値(年齢階級にみた一人平均現在歯数)、成人は28本の歯をもともと持っている。※改変引用:安藤 雄一:歯の喪失の実態、厚生労働省e-ヘルスネット
歯が一本抜けた程度であればあまり心配されない方もいらっしゃいますが、歯が一本抜けたのに、そのほかの歯が全て健康ということは残念ながらそう多くはありません。
過去に治療した被せ物や詰め物が多くなると、噛み合わせが悪くなり全体の歯に掛かる負担が増えるため、連鎖的に次の歯を失う可能性が考えられます。

銀歯や被せ物が多いと虫歯の再発や根が膿んでいる場合も少なくない。本来の噛み合わせから乱れた噛み合わせになってしまう。

自覚症状はないことが多く、進行していくと歯が折れたりすることで気づくも抜歯をしなければならない場合も少なくない。

50代60代で歯がボロボロで歯を失った方。当院は歯がボロボロの専門であるため、このような方は患者さんが多い。
したがって、50代60代で歯がボロボロの方は、これからますます歯を失っていくかもしれないことをふまえて、高齢になる前の体力のある今のうちに対処しておくことをお勧めします。
50代60代のブリッジや入れ歯の割合
50代60代では歯がボロボロで歯を失っていく割合が増えていきますが、それと比例してブリッジや入れ歯を使用する人の割合も増えていきます。

何らかの義歯(ブリッジ・部分入れ歯・総入れ歯)を使っている人の割合は年齢とともに高く、後期高齢者では84%に達します。※改変引用:安藤 雄一:歯の喪失の実態、厚生労働省e-ヘルスネット
55歳〜64歳でブリッジの割合は約50%、65歳〜74歳になると部分入れ歯の割合が約35%、75歳以上になると約30%が全ての歯を失い総入れ歯となります。
このように50代60代になると部分入れ歯を使用する割合が増え、最終的には総入れ歯になる割合も増えてきます。
【関連記事】50代60代で総入れ歯の人はいますか?歯がボロボロ治療専門の歯科医師が解説
歯がボロボロで歯を失うまでは、歯がなくなれば入れ歯にすればいいという考えもよく聞きますが、実はこの入れ歯が生活の質を大きく左右するものであることに歯を失ってから気づく方も少なくありません。
保険内治療で行われる入れ歯は、3割負担の場合、約1〜2万円で世界の歯科治療費と比較して安価で済みます。

保険内治療の部分入れ歯を使用しているも全体が歯周病のようになってくる
しかし、保険内治療の入れ歯は、うまく噛めず食事が取れなくなってしまったり、入れ歯を支えるために針金を使うため、見た目に支障が出てしまう可能性があります。
そして、引っ掛けた歯が歯周病のように抜けてしまうことも多々あります。
歯の悩みで生活が一変し、また健康にも影響が出る可能性もあるため、歯に困る前に今のうちにできる治療を検討しておきましょう。
【関連記事】入れ歯かインプラントか?わかりやすい選ぶポイント
50代60代で歯がボロボロの方の治療を受けるポイント
歯がボロボロになり、歯を失ってきた場合、将来困らないようにするための歯科治療を受けるポイントがあります。
- むやみに治療を受けない
- 保険内治療ではなく保険外治療を考える
- 将来を考えた治療方法を選ぶ
むやみに治療を受けない
歯科医院に行くと、とりあえず治療しましょうということも少なくありません。

もちろん歯科医師も良かれと思った提案かもしれませんが、1本の歯が抜歯に至るまでに治療できる機会は多くては多くて4〜5回と言われています。
したがって、50代60代で歯がボロボロの方は治療する前に今後歯がどうなっていくのか、どのような治療方法がいいのか、よく検討して治療を検討しましょう。
保険内治療ではなく保険外治療を考える
年代に問わず、歯は一度しっかりとした治療を受け、歯のことを忘れて人生を笑顔で幸せに過ごしてほしいと考えています。
保険外治療(自費診療)は、保険診療と比べてコストがかかるため、敬遠されがちです。
しかし、自費診療では、根本的な治療ができる可能性が高く、患者さんの状態によっては歯科治療において必要だと考えています。
日本の歯科治療は保険制度に頼りすぎる傾向があり、歯の健康にお金をかけることに抵抗があるかもしれませんが、現在もさることながら、将来を見据えると自費診療を受けるメリットは十分にあります。
将来を考えた治療方法を選ぶ
50代60代で歯がボロボロでインプラントや入れ歯を考えた時に重要なのが、治した歯や他の歯、インプラントも含めて将来悪くなって抜かなければならなくなったらどうなるかという視点です。
患者さん側からすれば、治した歯はずっと長持ちするはずだと思われるかもしれませんが、過去に治した歯が悪くなってくることは往々にしてあります。

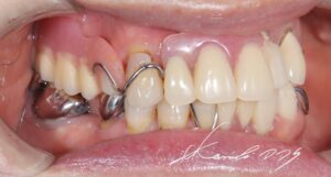
60代女性|全て保険内治療で食事ができずお困りの状態
その際に、またインプラント、入れ歯などの治療が必要になってくることを予想すれば、50代60代ではインプラントでもない入れ歯でもないドイツ式入れ歯と呼ばれるテレスコープ義歯も有効となりえます。

60代女性の治療後|ドイツ式入れ歯(テレスコープ義歯)で治療した状態

60代女性の治療後|ドイツ式入れ歯(テレスコープ義歯)で治療した見た目
【関連記事】ドイツ式入れ歯・テレスコープ義歯を完全解説!特徴、種類、メリット、費用は?
歯がボロボロの方の治療費用、値段、料金表
保険外治療のメリットは理解できるものの、治療費用が心配な方は非常に多いです。
歯がボロボロになった時、最善を尽くせる保険外治療の当院での治療費用を一部紹介します。
歯がボロボロでも歯が残せる場合の治療方法(歯1本あたり)

治療前:銀歯の周囲が虫歯である

無症状であるも歯の内部は重度の虫歯になっており、このまま経過すると抜歯に至る可能性は高い。

セラミッククラウンで治療した。天然歯のようにカラーリングを加えて自然にしている。セラミックは銀歯よりも精密で歯の周りから虫歯になりにくいメリットがある。
ジルコニアセラミッククラウンで治療した費用
- 虫歯の除去、仮歯装着まで12,100円
- 土台であるファイバーコア24,200円
- セラミックの被せ物154,000円
治療期間は約2か月(週1〜2回の頻度)
したがって、歯がボロボロで歯1本治す治療費用・値段・料金はおよそ20万円程度は必要となってきます。
歯がボロボロで歯を失った時の治療方法(歯1本あたり)

50代で奥歯3本部分入れ歯の治療となる状態

歯の神経がないところが破折し、抜歯が必要である、奥歯も歯がない状態。

50代・奥歯3本の部分入れ歯は使いづらいことを説明し、インプラント治療を行なった。

インプラント治療後
インプラントで治療した費用(1本あたり)
- 人工歯根:インプラント埋入 約30~36万円
- 被せ物:インプラントジルコニアクラウン(アバットメント含む)198,000円
治療期間は約6~12か月(週1〜2回の頻度)
したがって、歯がボロボロで歯を抜いて歯1本補う治療費用・値段・料金はおよそ50万円程度は必要となってきます。
このように歯を修復または失ったところを補う治療の歯1本あたりの治療には、上記の治療費用がかかります。
歯がボロボロで歯を失ったところがいくつかある場合は、治療費用がかさみます。
【関連記事】歯がボロボロで総入れ歯にしたい方におすすめの治療方法
全体の歯がボロボロのときの治療方法
例えば、50代で歯がボロボロで歯を失ったところがいくつかある場合の治療費用をみてみましょう。

50代歯がボロボロで入れ歯かインプラントで迷っている患者さんは多い。

治療前:上顎を噛む面から見た状態
上の奥歯をみると、左側で3本、右側で4本なくなっています。
左側に少し歯が残っていましたが、抜かざるを得ないほど弱っていたので、治療のために抜きました。
人間の歯は全部(片側:上顎または下顎)で14本ですので、合計で7本足りません。
インプラントは1本で治療費用が約50万円必要とすると、7本すべてインプラントで補う場合、この時点で350万円ほどになります。
それに加え、全ての歯をきちんと治療した治療も含めると上あごの歯だけで500万円ほど治療費用がかかります。
この患者さんはレントゲンでみると骨がほとんどなかったこともあり、骨造成という骨を人工的に増やす手術も必要です。
費用も高額になる上に、骨造成をするリスクも考えなければなりません。
このように治療費用がかさんでしまいますが、何より将来的にこの治療したインプラントや歯がだめになってしまった場合も考えると、さらにこの費用以上には生涯かかると見積もっておいた方が無難であると考えます。
50代60代で歯がボロボロの方におすすめの治療方法
将来的な治療費用や、50代60代で歯がボロボロの場合、将来再度インプラントや大掛かりな治療ができるかという点も考慮しなければなりません。
そこで、50代60代で歯がボロボロになり、歯を失ってきた場合、将来困らないようにするための治療方法があります。
それはドイツ式入れ歯と言われるテレスコープ義歯です。
【関連記事】テレスコープ義歯 ドイツ式入れ歯とは?テレスコープ義歯の種類、費用を解説します。

治療前

治療後:上下テレスコープ義歯治療を行なった。

治療前の見た目

50代男性のテレスコープ義歯の治療後の見た目
あらかじめ全ての歯をきちんと治療し、キャップのような被せ物を入れて、その上から装着する2重構造の被せ物で、歯がボロボロでも歯があるところと失ったところを一括に補うことができるブリッジのような入れ歯です。
入れ歯のカテゴリーではありますが、従来の保険内治療の入れ歯とは全く異なります。
見た目も噛み心地も良く、歯を失うリスクも軽減でき、将来歯を追加で失っても簡単な修理で済みます。
【関連記事】テレスコープ義歯 ドイツ式入れ歯とは?テレスコープ義歯の種類、費用を解説します。

治療前

治療後:上顎は保険外治療の総入れ歯、下顎はテレスコープ義歯で治療

治療後
治療費用は歯の状態に合わせたテレスコープ義歯の種類によって異なりますが、約200〜300万円です。
はじめの治療費用は高額ですが、先ほど説明した治療費用を考えるとコストパフォーマンスは優れています。
【関連記事】テレスコープ義歯(ドイツ式入れ歯)の値段費用を教えてください

【関連記事】50代60代で“総入れ歯しかない”と言われた方の症例集
何より、現在と将来の歯の悩みや心配を払拭することができる画期的な方法です。

治療前

治療後:上顎は保険外治療の総入れ歯、下顎はテレスコープ義歯で治療
ドイツ式入れ歯と言うように発祥はドイツです。
ドイツではインプラントとドイツ式入れ歯であるテレスコープ義歯が広く普及し治療で使用されています。
テレスコープ義歯の歴史はインプラントの歴史よりも古く約120年以上も前に開発され、実績のある治療方法です。
50代60代で歯がボロボロになった方の状態によっては、最善な治療方法となりますので、治療方法の1つとしてご検討することをお勧めします。
【関連記事】歯がボロボロで総入れ歯にしたい方におすすめの治療方法
【書籍紹介】ドイツ式入れ歯(テレスコープ義歯)がよくわかるおすすめ書籍
ただし、テレスコープ義歯の治療技術は非常に難しいことから、治療できる歯科医師が少なく、本場ドイツに則った治療方法で行わないテレスコープ義歯で治療された症例も散見されるため、治療を受ける歯科医院選びは十分に注意することをお勧めします。
【関連記事】テレスコープ義歯 ドイツ式入れ歯とは?テレスコープ義歯の種類、費用を解説します。
50代60代の歯がボロボロの専門歯科医院の見つけ方
歯がボロボロだったり、歯を失ったりすると、多くの場合被せ物やインプラント、入れ歯で治療することになります。
歯科医師の専門は様々存在しますが、その中でもこのような状態の場合、【噛み合わせ】と歯を補う【補綴治療(ほてつちりょう)】を専門または特化した歯科医院を選ぶ方がいいでしょう。
噛み合わせの治療技術は、歯がボロボロになっていればいるほど影響を受けやすくなります。
歯が悪くなるのは歯周病、虫歯と言われていますが、作った噛み合わせが悪いと再度歯が悪くなったり、うまく噛めないなどの症状が出ます。
一般的な歯科医院ですと、重症で治療できないことも考えられますので、歯がボロボロの方は噛み合わせに精通している歯科医師を選ぶことも重要となります。

60代女性の治療前

60代女性の治療前

60代女性の治療後

60代女性の治療後
当院では、50代60代の歯がボロボロの専門歯科医院として、噛み合わせを重視したテレスコープ義歯やインプラント、セラミックの被せ物で治療を行っております。
患者さんは北海道から鹿児島まで、多くの方が来院されています。
歯がボロボロの専門歯科医院にかかわらず、開業し始めた2年間で500名以上の患者さんが来院されました。
実は私は、この歯がボロボロの治療を治療した患者さんの症例発表を学会やコンペティションで全国で最優秀賞を何度も受賞しております。

また、その技術を歯科医師向けに依頼講演や依頼執筆を行なっていることからその実績を頼りに、全国から当院に治療をされに来られます。

【症例集】多数の治療実績を症例写真付きで解説。治療方法から費用まで全て掲載

受賞歴や実績の詳細は、院長紹介をご覧ください。
まずは、当院にお越しいただき、患者さんに何がベストなのか、歯がボロボロの場合、多くの患者さんが治療費用も心配です。
全体の治療費用を考えながら、複数の治療の種類からご提案でき、ご相談できますのでご安心してお越しください。

当院では歯科医師である院長が直接相談し、費用も考えて治療の種類をいくつかご提案し相談します。
初診時はまずは院長である私がご相談します(初診料5500円)。精密検査が必要な場合は別途ご案内します(約3~5万円)が、まずはご相談を行います。
50代60代で歯がボロボロの方はお一人でお悩みを抱え込まず、まずはご相談をしていただければと思います。
ご自身に近い状態が症例集にいずれかに該当すると思いますので、歯がボロボロのときの治療を行なった症例集で治療の種類や治療費用もご確認ください。
【関連記事】歯がボロボロ、グラグラでもきれいに治る!お口の中の状態別で解説|テレスコープ義歯(ドイツ式入れ歯)の症例集とその治療費用値段

当院に来院されなくても今この記事を見られている方の今後の治療に少しでも私のブログが少しでもお役に立っていただければ嬉しく思います。

執筆者 このは歯科クリニック 院長 小西浩介
【執筆者紹介】全国の歯科医師に総入れ歯・ドイツ式入れ歯(テレスコープ義歯)を教育する院長 小西浩介の経歴紹介
このは歯科クリニック
院長:小西 浩介(ドイツ式入れ歯・テレスコープ義歯・総入れ歯治療専門)
〒113-0001 東京都文京区白山1-33-27 HDCビル1F/2F/B1F





